Abstract
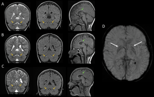
Pathogenic WDR45 variants cause neurodevelopmental disorders (NDDs) including β-propeller protein-associated neurodegeneration (BPAN), characterized by developmental delay (DD), ataxia and extrapyramidal signs. Our patient, initially presenting at 22 months with DD, now, aged 7, shows intellectual disability, ataxia and rigidity. MRI findings were suggestive of Leigh syndrome, a mitochondrial disorder (MD) phenotype, with no brain iron accumulation. Reduced activity of respiratory chain complex I (cI) and complex II (cII) was identified in muscle and fibroblasts, and a cII reduction in muscle only; however, a primary MD was excluded. Exome sequencing revealed a de novo pathogenic WDR45 variant. Autophagic flux analysis showed a mildly reduced p62 response, with normal autophagy progression. This is the first report linking WDR45 to cI assembly and activity, indicating mitochondrial dysfunction as a potential pathophysiological BPAN mechanism. We recommend considering WDR45-related NDDs when diagnosing early-onset NDDs, particularly Leigh-like encephalopathies with cI deficiency, even without brain iron accumulation.
This is a preview of subscription content, access via your institution
Access options
Subscribe to this journal
Receive 12 print issues and online access
$259.00 per year
only $21.58 per issue
Buy this article
- Purchase on SpringerLink
- Instant access to the full article PDF.
USD 39.95
Prices may be subject to local taxes which are calculated during checkout


Similar content being viewed by others
Data availability
All data generated/analyzed during this study are available from the corresponding author on reasonable request.
References
Haack TB, Hogarth P, Kruer MC, Gregory A, Wieland T, Schwarzmayr T, et al. Exome sequencing reveals de novo WDR45 mutations causing a phenotypically distinct, X-linked dominant form of NBIA. Am J Hum Genet. 2012;91:1144–9. https://doi.org/10.1016/j.ajhg.2012.10.019
Saffari A, Schröter J, Garbade SF, Alecu JE, Ebrahimi-Fakhari D, Hoffmann GF, et al. Quantitative retrospective natural history modeling of WDR45-related developmental and epileptic encephalopathy - a systematic cross-sectional analysis of 160 published cases. Autophagy. 2022;18:1715–27. https://doi.org/10.1080/15548627.2021.1990671
Papandreou A, Soo AKS, Spaull R, Mankad K, Kurian MA, Sudhakar S. Expanding the Spectrum of Early Neuroradiologic Findings in β Propeller Protein-Associated Neurodegeneration. AJNR Am J Neuroradiol. 2022;43:1810–4. https://doi.org/10.3174/ajnr.A7693
Arber CE, Li A, Houlden H, Wray S. Review: Insights into molecular mechanisms of disease in neurodegeneration with brain iron accumulation: unifying theories. Neuropathol Appl Neurobiol. 2016;42:220–41. https://doi.org/10.1111/nan.12242
Zhao YG, Sun L, Miao G, Ji C, Zhao H, Sun H, et al. The autophagy gene Wdr45/Wipi4 regulates learning and memory function and axonal homeostasis. Autophagy. 2015;11:881–90. https://doi.org/10.1080/15548627.2015.1047127
Seibler P, Burbulla LF, Dulovic M, Zittel S, Heine J, Schmidt T, et al. Iron overload is accompanied by mitochondrial and lysosomal dysfunction in WDR45 mutant cells. Brain. 2018;141:3052–64. https://doi.org/10.1093/brain/awy230
Biagosch CA, Vidali S, Faerberboeck M, Hensler S-V, Becker L, Amarie OV, et al. A comprehensive phenotypic characterization of a whole-body Wdr45 knock-out mouse. Mamm Genome J Int Mamm Genome Soc. 2021;32:332–49. https://doi.org/10.1007/s00335-021-09875-3
Leigh D. Subacute necrotizing encephalomyelopathy in an infant. J Neurol Neurosurg Psychiatry. 1951;14:216–21. https://doi.org/10.1136/jnnp.14.3.216
Adang LA, Pizzino A, Malhotra A, Dubbs H, Williams C, Sherbini O, et al. Phenotypic and Imaging Spectrum Associated With WDR45. Pediatr Neurol. 2020;109:56–62. https://doi.org/10.1016/j.pediatrneurol.2020.03.005
Russo C, Ardissone A, Freri E, Gasperini S, Moscatelli M, Zorzi G, et al. Substantia Nigra Swelling and Dentate Nucleus T2 Hyperintensity May Be Early Magnetic Resonance Imaging Signs of β-Propeller Protein-Associated Neurodegeneration. Mov Disord Clin Pract. 2019;6:51–56. https://doi.org/10.1002/mdc3.12693
Kimura Y, Sato N, Ishiyama A, Shigemoto Y, Suzuki F, Fujii H, et al. Serial MRI alterations of pediatric patients with beta-propeller protein associated neurodegeneration (BPAN). J Neuroradiol J Neuroradiol. 2021;48:88–93. https://doi.org/10.1016/j.neurad.2020.04.002
Seibler P, Burbulla LF, Dulovic M, Zittel S, Heine J, Schmidt T, et al. Iron overload is accompanied by mitochondrial and lysosomal dysfunction in WDR45 mutant cells. Brain J Neurol. 2018;141:3052–64. https://doi.org/10.1093/brain/awy230
Lee HE, Jung MK, Noh SG, Choi H.B. Chae SH, Lee JH, et al. Iron Accumulation and Changes in Cellular Organelles in WDR45 Mutant Fibroblasts. Int. J. Mol. Sci. 202122. https://doi.org/10.3390/ijms222111650.
Li A, Gao M, Liu B, Qin Y, Chen L, Liu H, et al. Mitochondrial autophagy: molecular mechanisms and implications for cardiovascular disease. Cell Death Dis. 2022;13:444. https://doi.org/10.1038/s41419-022-04906-6
Shimizu T, Tamura N, Nishimura T, Saito C, Yamamoto H, Mizushima N. Comprehensive analysis of autophagic functions of WIPI family proteins and their implications for the pathogenesis of β-propeller associated neurodegeneration. Hum Mol Genet. 2023;32:2623–37. https://doi.org/10.1093/hmg/ddad096
Funding
The clinical studies were carried out thanks to funding from GRUPPO A.N.A. San Vito Al Torre. Biochemical and molecular studies were carried out at the Center for the Study of Mitochondrial Pediatric Diseases funded by the Mariani Foundation. Iuso was funded by the NBIA Disorders Association for the investigation of autophagy and complex I assembly in BPAN cells.
Author information
Authors and Affiliations
Contributions
G Ferrera, K Derderian, R Izzo, B Gnutti, A Legati, G Zorzi, E Lamantea, A Iuso, A Ardissone. Data curation: G Ferrera, A Iuso, A Ardissone Formal analysis: K Derderian, R Izzo, B Gnutti, A Legati, E Lamantea. Investigation: G Ferrera, A Iuso, A Ardissone. Methodology: G Ferrera, A Ardissone. Project administration: G Ferrera, A Ardissone. Supervision: A Iuso A Ardissone. Validation: A Iuso, E Lamantea. Visualization: A Iuso A Ardissone. Roles/Writing - original draft: G Ferrera, A Iuso, A Ardissone. Writing - review & editing: G Ferrera, G Zorzi, A Iuso, A Ardissone.
Corresponding author
Ethics declarations
Competing interests
The authors declare no competing interests.
Ethical approval
The boy’s parents provided informed consent for MRI acquisition, muscle and skin biopsy and genetic analysis and consented to the use of anonymized personal data for scientific purposes according to the ethical standards of the 1964 Declaration of Helsinki.
Additional information
Publisher’s note Springer Nature remains neutral with regard to jurisdictional claims in published maps and institutional affiliations.
Supplementary information
Rights and permissions
Springer Nature or its licensor (e.g. a society or other partner) holds exclusive rights to this article under a publishing agreement with the author(s) or other rightsholder(s); author self-archiving of the accepted manuscript version of this article is solely governed by the terms of such publishing agreement and applicable law.
About this article
Cite this article
Ferrera, G., Derderian, K., Izzo, R. et al. WDR45-related encephalopathy mimicking Leigh syndrome associated with complex I deficiency: a case report. Eur J Hum Genet 33, 248–251 (2025). https://doi.org/10.1038/s41431-024-01745-1
Received:
Revised:
Accepted:
Published:
Version of record:
Issue date:
DOI: https://doi.org/10.1038/s41431-024-01745-1


