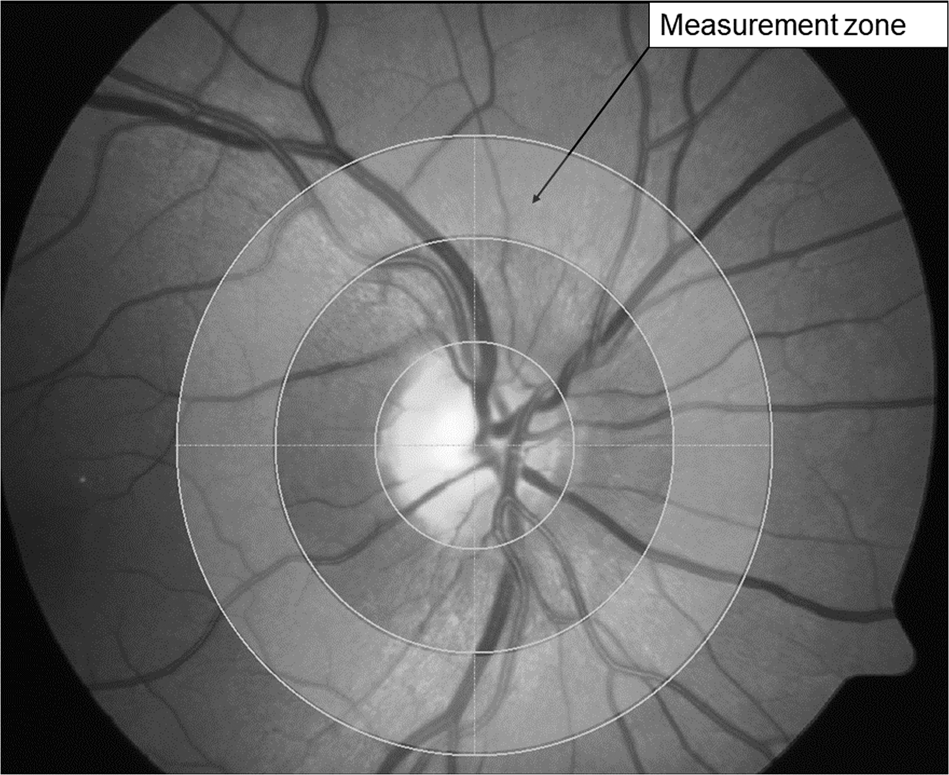
Fig. 2: Measurement annulus.
From: Dual wavelength retinal vessel oximetry – influence of fundus pigmentation

The shaded area in fundus image represents the concentric measurement annulus around the optic disc which is ½ disc diameter away from the optic nerve head margin and ½ disc diameter in width.