Fig. 2
From: Clinical and genetic spectrum of children with congenital diarrhea and enteropathy in China

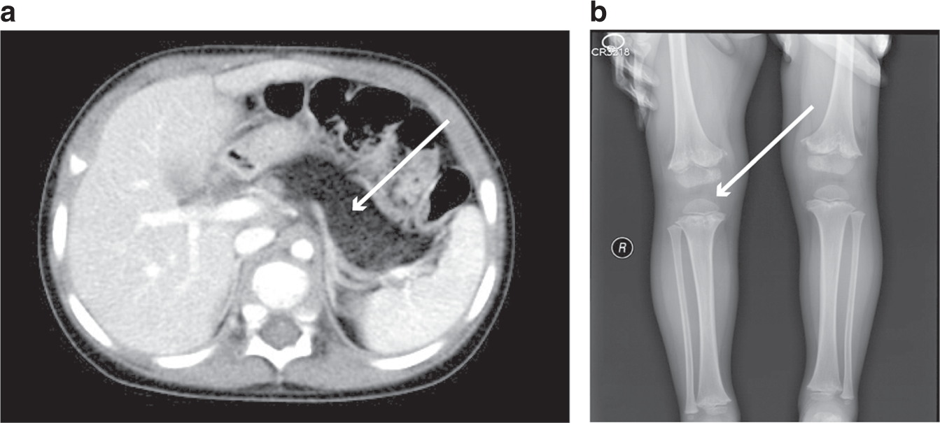
Radiologic findings of patients with fatty diarrhea. (a) Enhanced computed tomography (CT) of the abdomen shows pancreatic lipomatosis in patient 89. (b) A lower limb plain film shows metaphyseal dysplasia in patient 89.