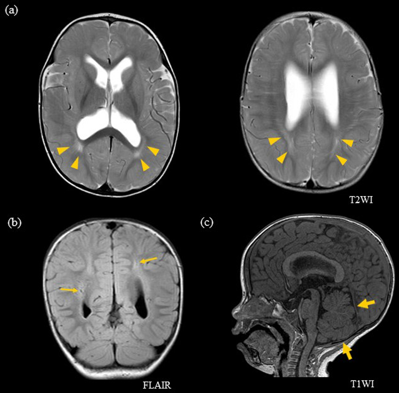
Fig. 1: Head MRI at 10 months of age.
From: A novel missense PTEN mutation identified in a patient with macrocephaly and developmental delay

a Axial T2-weighted image and b coronal FLAIR image show hyperintensity in the bilateral periventricular white matter regions (yellow arrowhead) and enlarged periventricular spaces (thin yellow arrow). c Sagittal T1-weighted image shows a narrow posterior fossa (broad yellow arrow)