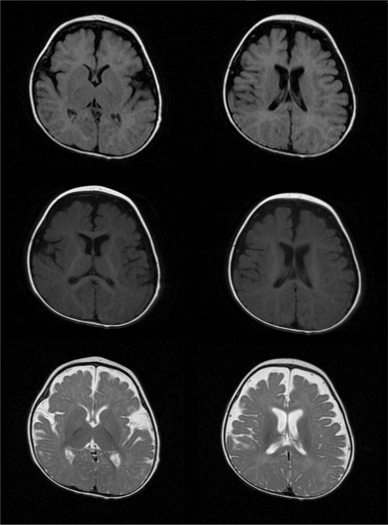
Fig. 2: Brain MRI of the proband. | Human Genome Variation