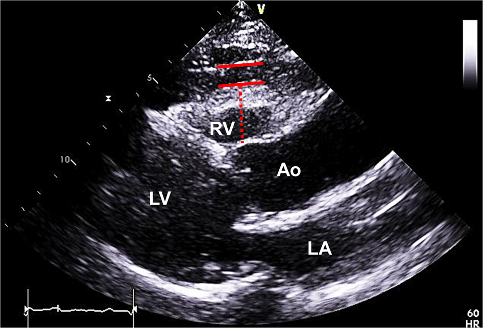
Fig. 1

Measurement of EAT thickness using two-dimensional TTE. EAT was defined as the echo-free space between the outer wall of the myocardium and the visceral layer of pericardium (between red bars). Measurements of EAT thickness were obtained perpendicular to the RV free wall (red dotted line) at end-systole in three consecutive cardiac cycles. Ao, aorta; EAT, epicardial adipose tissue; LA, left atrium; LV, left ventricle; RV, right ventricle; TTE, transthoracic echocardiography