Fig. 1

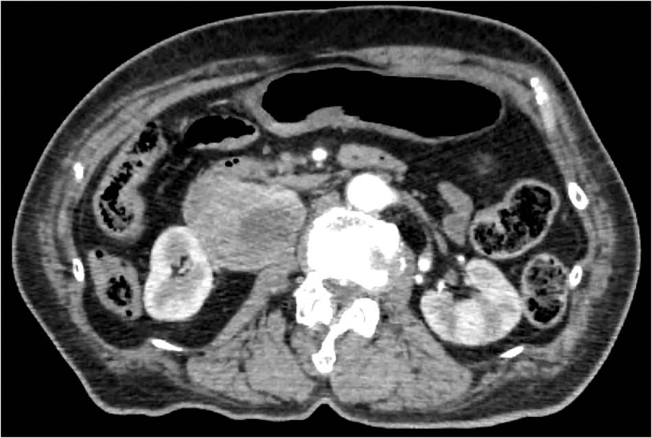
CT scan showing a defined mass (62 × 50 mm) at the hilum of the right kidney. At the emergency department, as diagnosis of PPGL was not suspected, CT scan was done with contrast enhancement

CT scan showing a defined mass (62 × 50 mm) at the hilum of the right kidney. At the emergency department, as diagnosis of PPGL was not suspected, CT scan was done with contrast enhancement