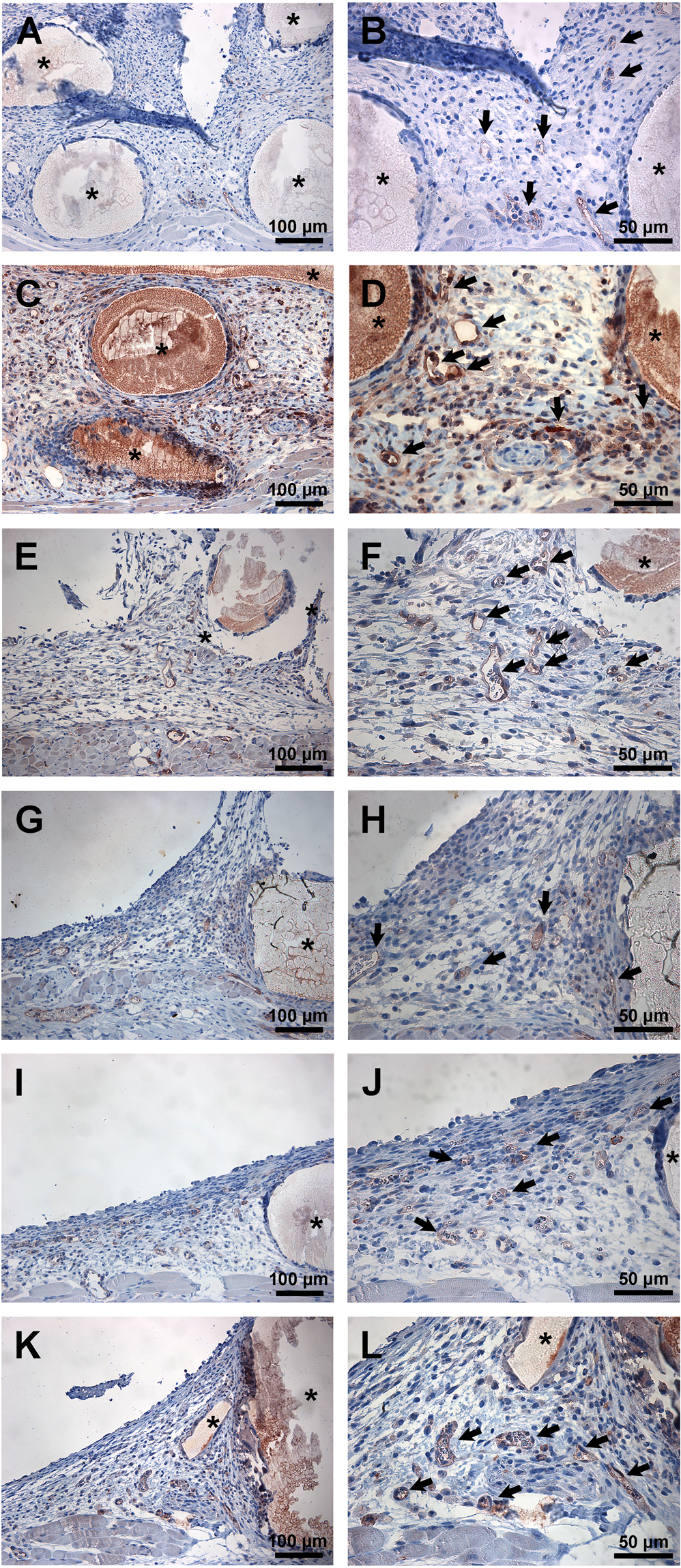
Fig. 5
From: Cell seeding accelerates the vascularization of tissue engineering constructs in hypertensive mice

Immunohistochemical detection of CD31 as a marker of endothelial cells (arrows). Collagen-coated PLGA scaffolds (a, b controls; g, h hypertensive mice), PLGA scaffolds additionally seeded with OLCs (c, d controls; i, j hypertensive mice) or with bmMSCs (e, f controls; k, l hypertensive mice). At day 14, a positive staining/signal for CD31 was detectable in all constructs, but marked differences in vascular density were observed depending on the composition of the constructs. PLGA strands are marked with asterisks. Left column (a, c, e, g, i, k): overview, right column (b, d, f, h, j, l): higher magnification