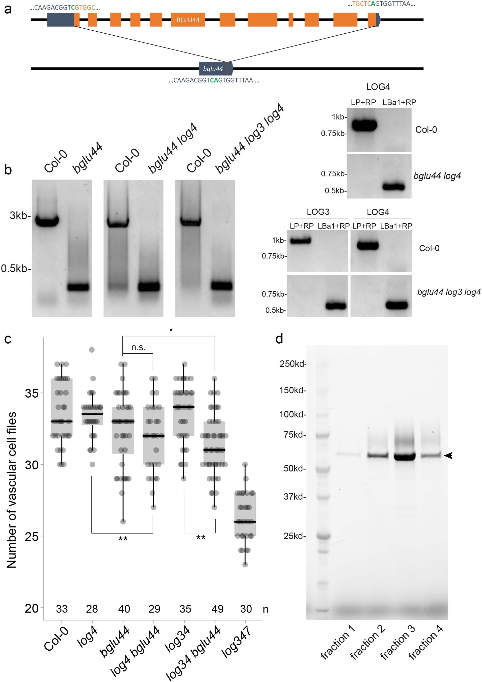
Extended Data Fig. 4: BGLU44 mutant generation and protein purification.

a, Position of the deletion in the bglu44 mutant line. b, PCR validation of the bglu44 mutant and crosses with log4 and log34 mutants. c, quantification of the number of vascular cell files in the indicated lines. Boxes represent the 1st and 3rd quartile and the center line represents the median. n indicate independent plants, the data and statistics are summarized in Supplementary Data 4. Asterisks in graphs indicate significance values as determined by standard two-sided t-tests (*:p-value<0.05; **: p-value<0.01). d, Coomassie gel showing subsequent fractions of purified BGLU44 protein (arrowhead) after ion exchange chromatography. The experiments in b and d were repeated three times independently, with similar results.