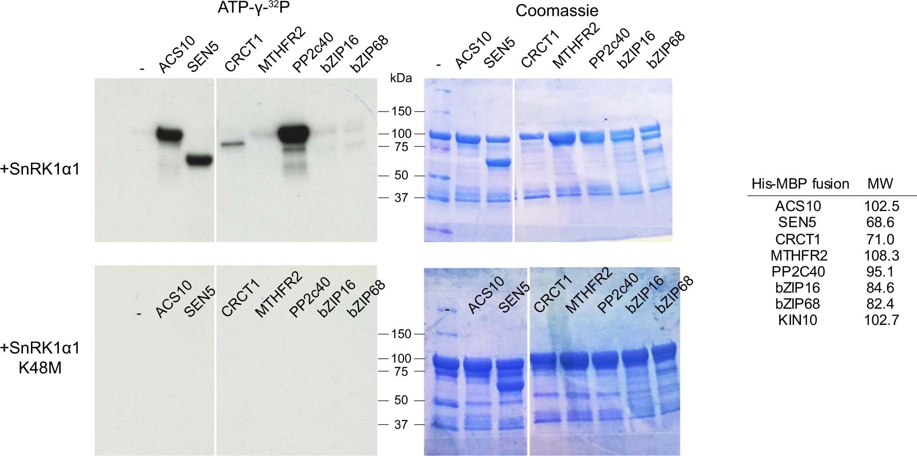
Extended Data Fig. 2: In vitro kinase assay results.

Full autoradiograms (1 h exposure) and Coomassie stained gel pictures of the kinase assays shown in Fig. 1e. The lower panel shows the absence of phosphorylation with the catalytically inactive SnRK1α1 K48M mutant. In the first lane, the sample from the negative control without substrate was loaded together with the protein ladder. Molecular weights (MW) of the recombinant HisMBP fusions are shown. The experiment was three times independently repeated with similar results.