Extended Data Fig. 1: SDS-PAGE analysis and identification of the phosphorylation state of protein subunits in the PSI-LHCI-LHCII-Lhcb9 supercomplex of P. patens.
From: Structural insights into a unique PSI–LHCI–LHCII–Lhcb9 supercomplex from moss Physcomitrium patens

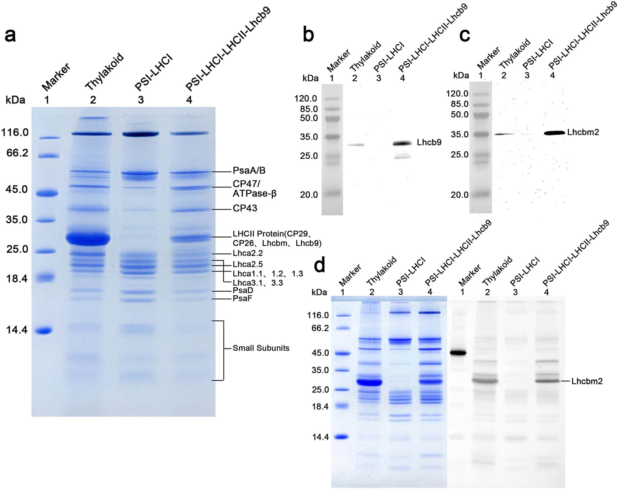
a, SDS-PAGE analysis of marker (Lane 1), thylakoid (Lane 2), purified PSI-LHCI (Lane 3) and purified PSI-LHCI-LHCII-Lhcb9 (Lane 4). Each band was identified based on the mass spectrometry and proteomics analysis and indicated. b, Western-blotting analysis of thylakoid membrane, PSI-LHCI and PSI-LHCI-LHCII-Lhcb9 supercomplex using the antibodies against Lhcb9. c, Western-blotting analysis of the phosphoproteins in thylakoid membrane, PSI-LHCI and PSI-LHCI-LHCII-Lhcb9 supercomplex using a phosphothreonine antibody. d, Detection of the phosphoproteins by Pro-Q Diamond staining. The polypeptide samples were separated by SDS-PAGE and stained with Coomassie blue (left) or with Pro-Q Diamond to detect the presence of phosphoproteins (right). The amounts of the samples loaded onto each wells 2-4 were 10, 5 and 5 μg of Chls in a, b, c and d, respectively. Data presented in this figure is repeated more than three times, and all resulted in the same results.