Fig. 3: Thalamic [18F]fallypride BPND.
From: Dopamine-induced changes to thalamic GABA concentration in impulsive Parkinson disease patients

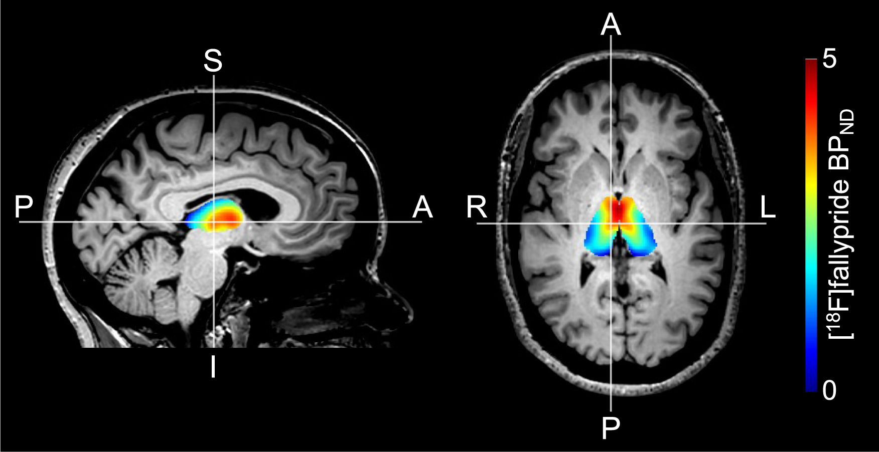
Representative example of [18F]fallypride BPND values in the thalamus overlaid on a T1-weighted image.
From: Dopamine-induced changes to thalamic GABA concentration in impulsive Parkinson disease patients

Representative example of [18F]fallypride BPND values in the thalamus overlaid on a T1-weighted image.