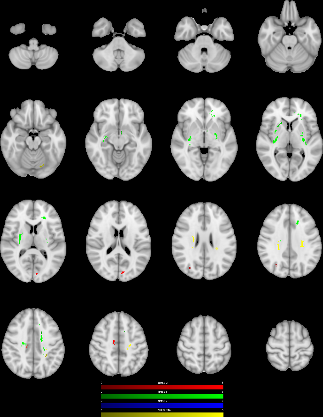
Fig. 2: Negative association between ODI and postoperative change in NMS.
From: Microstructure predicts non-motor outcomes following deep brain stimulation in Parkinson’s disease

Clusters with a negative association between PD patients’ ODI-values and postoperative change in NMSS-T (yellow), Domain 2 (sleep/fatigue, red), Domain 5 (attention/memory, green), and Domain 7 (urinary, blue), as revealed by the whole brain analysis. P values were corrected for multiple comparisons using a permutation-based approach.