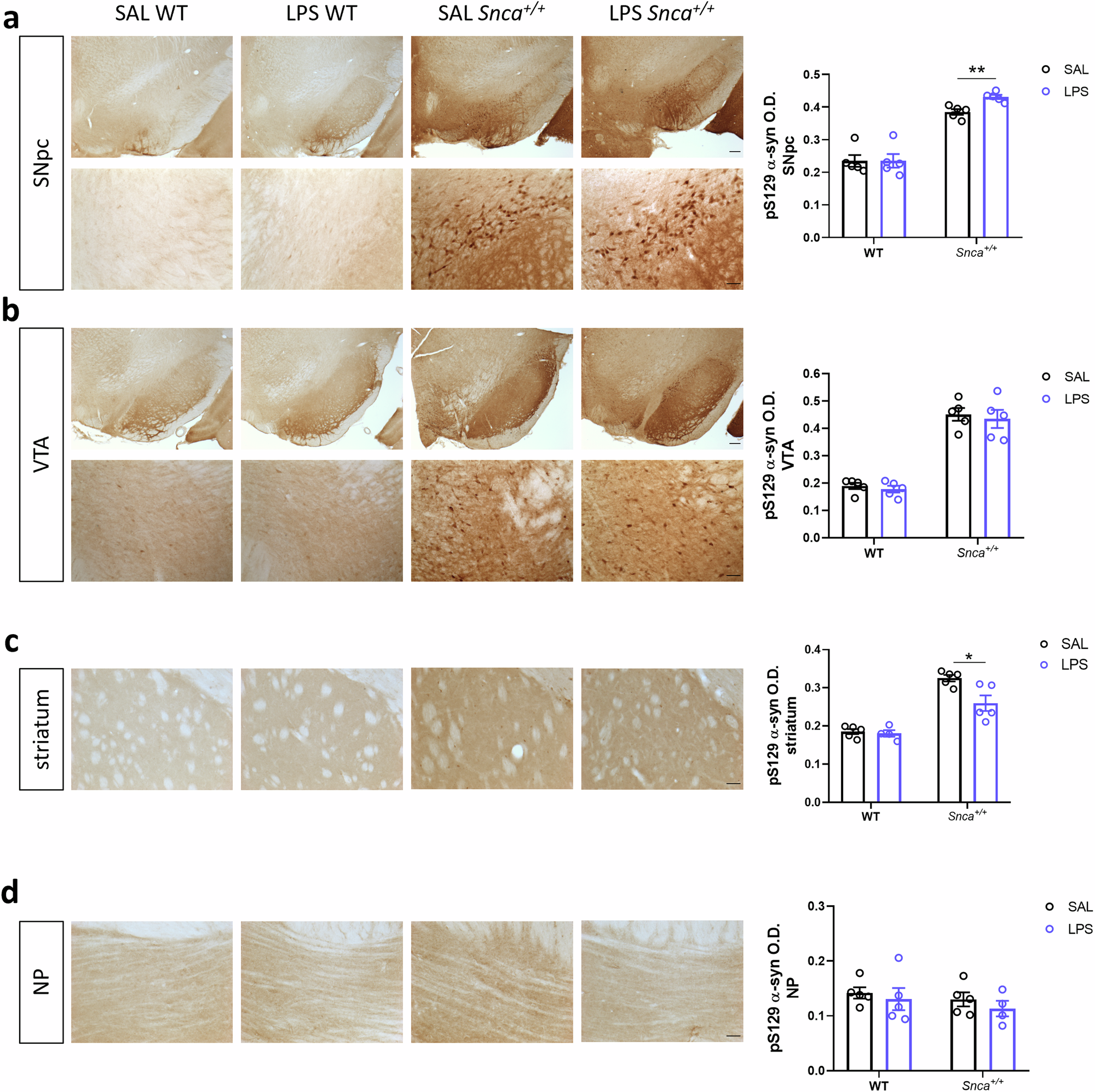
Fig. 3: LPS accelerates alpha synuclein accumulation in the SN of Snca+/+ rats.

a Left, representative immunostaining of pSyn (S129) in the SNpc (top, scale: 200 µm) and related micrograph (bottom, scale: 50 μm). Right, densitometric quantification of pSyn (S129) in SNpc. Each point represents mean O.D. values per animal ±S.E.M. (n = 5 rats/group; Kruskal-Wallis test: p = 0.0011 (approximate), **p = 0.0079, with Mann Whitney test). b Left, representative immunostaining of pSyn (S129) in the VTA (top, scale: 200 µm) and micrograph (bottom, scale: 50μm). Right, densitometric quantification of pSyn (S129) in VTA. Each point represents mean O.D. values per animal ±S.E.M. (n = 5 rats/group; Ordinary Two-way ANOVA for Genotype vs Treatment: Interaction, F (1, 16) = 0.01289; Genotype, F (1, 16) = 138.5, ****p < 0.0001; Treatment, F (1, 16) = 0.3907). c Left, representative immunostaining of pSyn (S129) in the striatum (scale: 50μm) and densitometric quantification, right. Each point represents mean O.D. values per animal ±S.E.M. (n = 5 rats/group; Ordinary Two-way ANOVA for Genotype vs. Treatment: Interaction, F (1, 15) = 5.632, p = 0.0314; Genotype, F (1, 15) = 73.16, p < 0.0001; Treatment, F (1, 15) = 7.504, p = 0.0152; *p = 0.122, with Bonferroni’s post hoc multiple comparisons test). d Left, representative immunostaining of pSyn (S129) in the NP (scale: 50 μm) and densitometric quantification, right. Each point represents mean O.D. values per animal ±S.E.M. (n = 5 rats/group; Ordinary Two-way ANOVA for Genotype vs Treatment: Interaction, F (1, 15) = 0.03596).