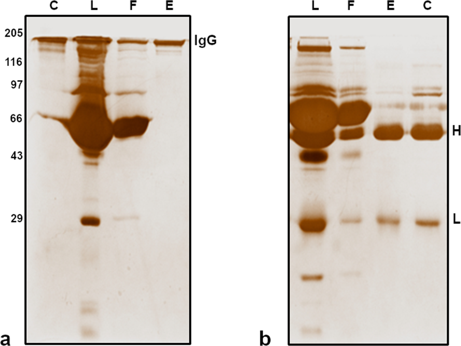
Fig. 2: SDS-PAGE (10%) analysis.
From: DNA hydrolysing IgG catalytic antibodies: an emerging link between psychoses and autoimmunity

a Non-reducing conditions, b reducing conditions. Lanes: C-human IgG, Cohn fraction (II, III), L-total serum, F-flow-through and E-elution (0.2 M NaCl). H and L correspond to heavy chain (50 KDa) and light chain (25 KDa) of IgG. Gels were derived from the same experiment.