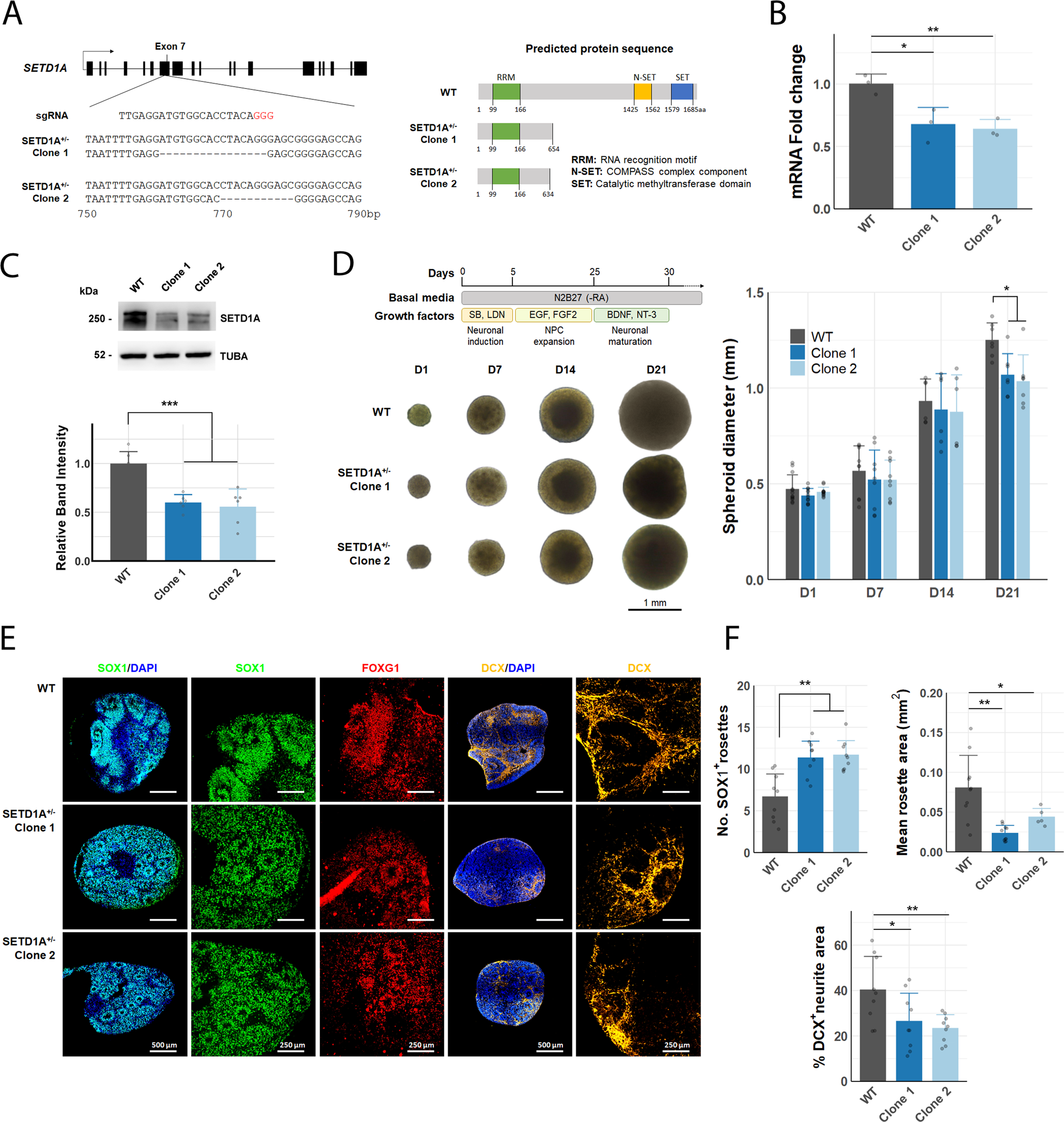
Fig. 1: Heterozygous disruption of SETD1A leads to neurodevelopmental phenotypes in cortical spheroids.

A Frameshift mutations induced in SETD1A+/− hiPSC lines and respective predicted protein sequences. B Relative expression of SETD1A transcript in WT and SETD1A+/− iPSCs (n = 3 wells from 3 independent passages). C Representative bands from western blot of SETD1A in WT and SETD1A+/− iPSCs and relative quantification of band intensity (n = 6 wells from 2 independent passages). D Cortical spheroid differentiation protocol and respective brightfield images of spheroids during the first three weeks of differentiation. (left) Quantification of WT and SETD1A+/− spheroid diameter. (n = 9 spheroids per timepoint per line from 3 independent differentiations). E Representative IF images of spheroid sections at D21. F Quantification of (top left) SOX1+ rosette number, (top right) mean rosette area, (bottom) DCX+ area as a percentage of DAPI+ area (n = 9 spheroids per line from 3 independent differentiations) Data represented are mean ± sd. For all comparisons, one-way ANOVA with Dunnett’s multiple comparisons test was performed. *p < 0.05; **p < 0.01.