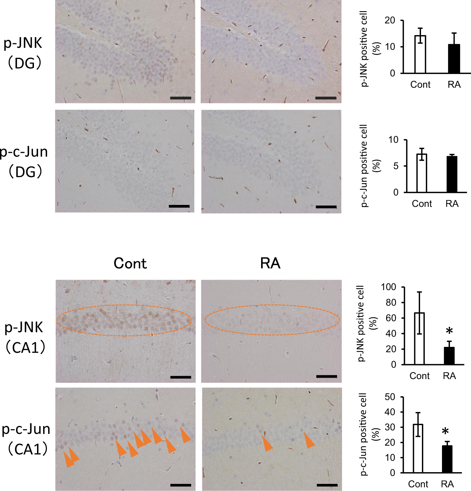
Fig. 6: RA inactivates JNK signaling in the hippocampus.

Immunohistochemistry for p-JNK and p-c-Jun in the CA1 region. Active JNK (p-JNK) and p-c-Jun expression levels are decreased by RA supplementation. Paraffin sections were stained with anti-p-JNK/p-c-Jun and peroxidase-based labeling (brown), and counterstained with hematoxylin to visualize nuclei (violet). Bregma, −1.8 to −2.2 mm; slice thickness, 5 μm. The CA1 region and dentate gyrus were divided into three areas, and AT8-positive cells were counted to calculate the ratio of cells positive for p-JNK or p-c-Jun to the total number of cells; three mice per group were included in the analyses. The ratio of AT8-positive cells is presented as an average of three areas. Data are shown as means ± standard error. Cont, n = 3; RA, n = 3, *p < 0.05.