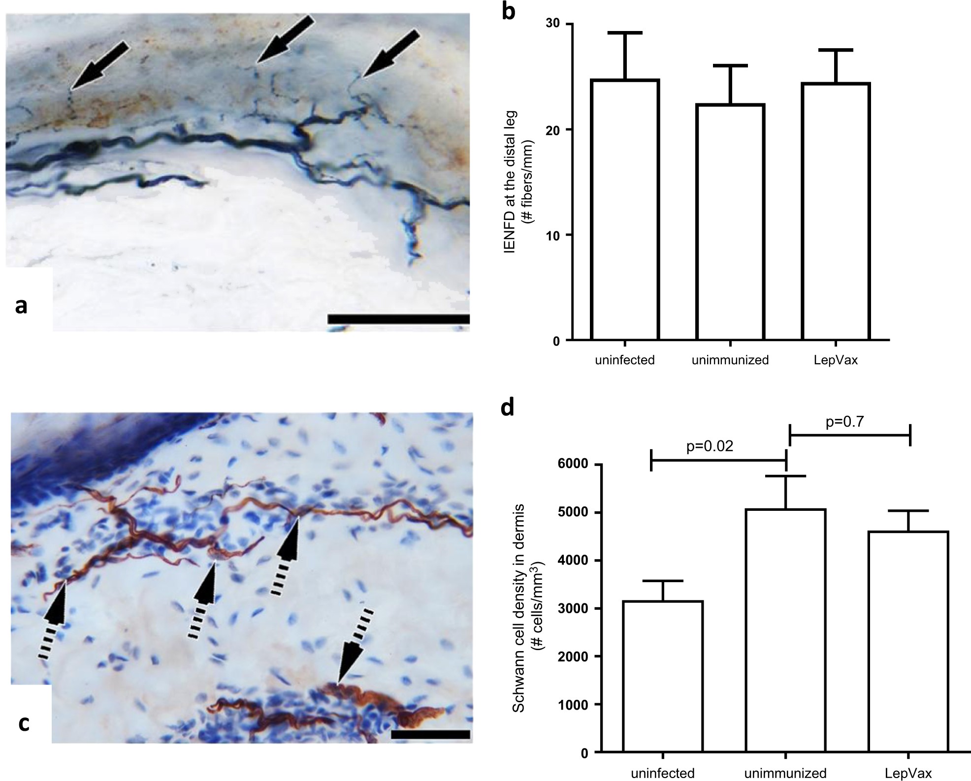
Fig. 5

Morphometry of cutaneous nerves in armadillos. 3 mm skin punches were made at the distal leg in uninfected armadillos (n = 9) and in infected armadillos that were either unimmunized (n = 11) and LepVax-immunized (n = 11) at the 16th month after M. leprae innoculation. In a, the cutaneous innervation exhibits a comparable pattern to that observed in humans. In b, intraepidermal nerve fiber densities were measured. Results are shown as mean and s.e.m. In c, the brownish strands of Remak Schwann cell bundles in the dermis exhibiting Schwann cell nuclei (broken arrows) can be observed. In d, Schwann cells were enumerated using stereological optical fractionator probe. Results are shown as mean and s.e.m