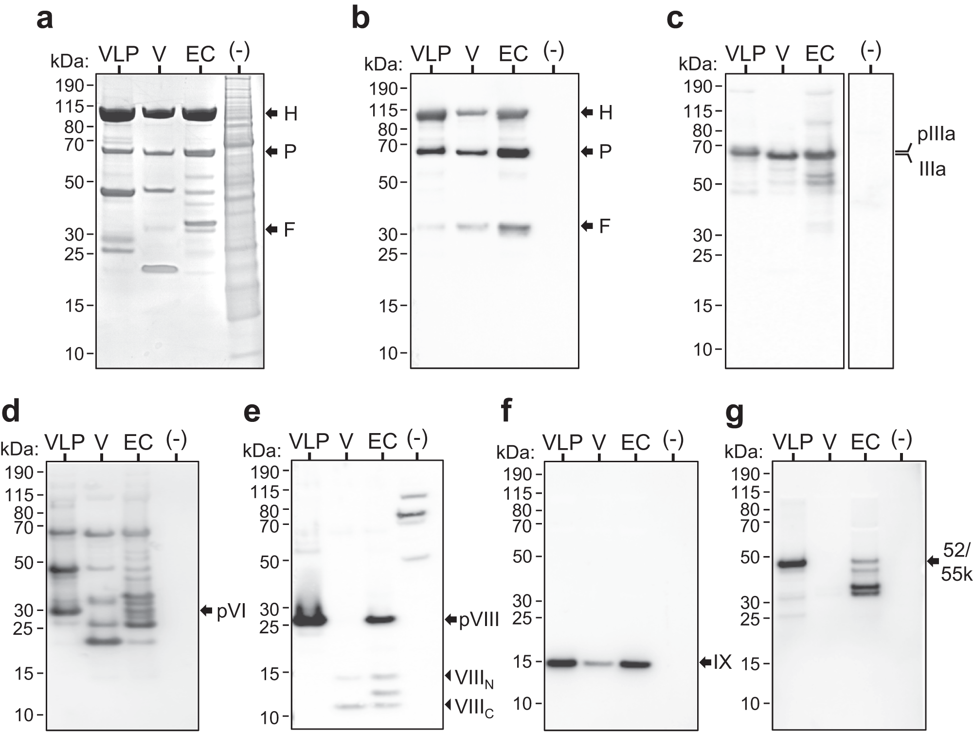
Fig. 2: Protein compositional analysis of AdVLP-7.
From: A recombinant virus-like particle vaccine against adenovirus-7 induces a potent humoral response

SDS-PAGE analysis of purified AdVLP-7 (VLP), wild-type AdV-7 virions (V), empty capsids (EC), and mock-transfected cell lysate (-). a Coomassie blue stained gel used to determine purity of the samples. Western blot analyses were generated using an (b) anti-AdV-5, (c) anti-IIIa, (d) anti-AdV-14, (e) anti-VIII, (f) anti-IX, or (g) anti-L1-52/55k antibody. The sizes of the molecular weight markers are labeled to the left of each blot. In (a, b), arrows indicate the proteins of interest (hexon (H), penton (P), and fiber (F)). In (c), precursor (pIIIa) and processed IIIa are shown. In (e), precursor (pVIII, arrows) and N- and C-terminal processed cleavage products (arrowheads) of VIII are shown. The corresponding full images of gels/blots are shown in Supplementary Fig. 3.