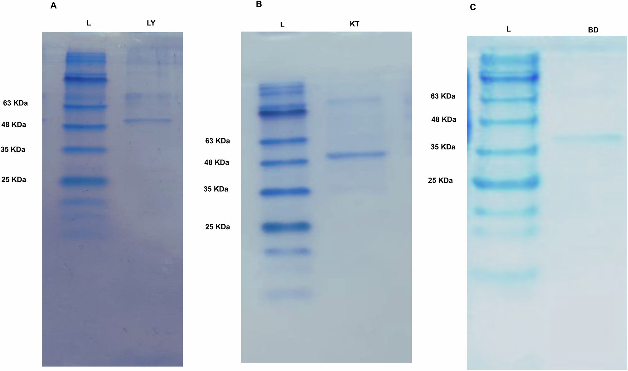
Fig. 3: Purification of recombinant His-tagged proteins 6x-His-LY, 6x-His-KT, and 6x-His-BD using Ni-NTA columns.

A photograph of coomassie blue-stained SDS-PAGE gel of Ni-NTA purified recombinant: A 6x-His-LY with a size of approximately 59.2 KDa, B 6x-His-KT with a size of approximately 57.9 KDa, and C 6x-His-BD with a size of approximately 35.1 KDa.