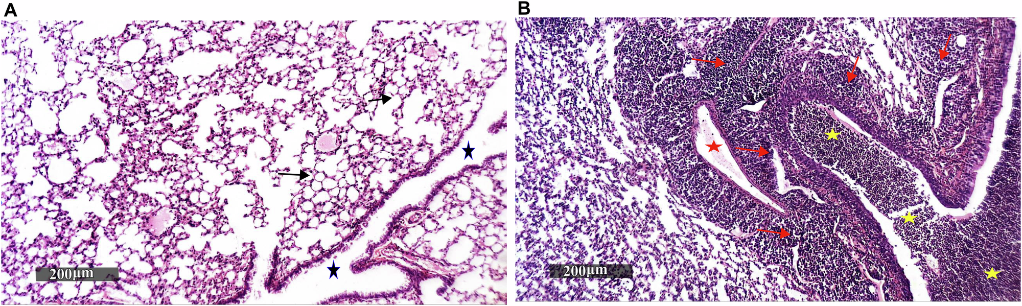
Fig. 5: Lung inflammation in mice infected with B. cenocepacia.

Paraffin lung sections from three mice infected with B. cenocepacia, five days post-intranasal infection, and three healthy mice were stained with Harris Hematoxylin and Eosin and observed under a microscope with a magnification power of 200×, where: A photograph showing lung tissue sections of healthy mice with well-organized histological features of pulmonary parenchyma with thin-walled interalveolar septa and normal vasculatures (arrow), intact alveolar luminal spaces, intact bronchiolar epithelium as well as minimal records of mononuclear inflammatory cells infiltrates in peribronchiolar tissue with intact intraluminal spaces (star), B photograph showing lung tissue sections of infected mice with severe bronchiolitis and remarkable intraluminal cellular debris with mixed inflammatory cells (yellow star), severe interstitial pneumonia with a marked increase of peribronchiolar mixed inflammatory cells infiltrates (red arrow) that extend to alveolar spaces, and congested vasculatures (red star).