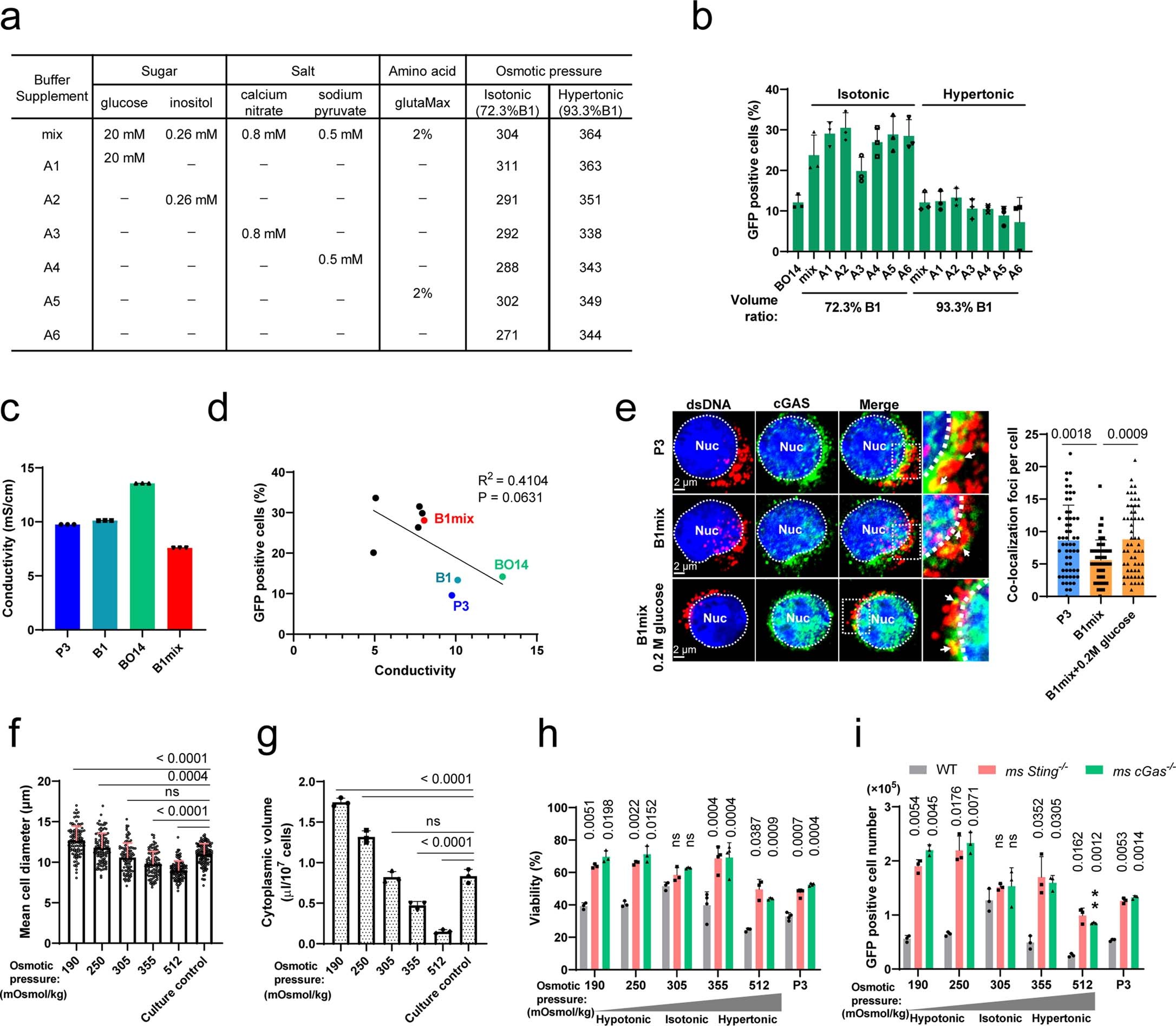
Extended Data Fig. 3: The osmotic pressure of the electroporation buffer regulates cellular cGAS-DNA interactions.

a, List of buffer composition and their respective osmolality. b, GFP transfection efficiency in mouse T cells electroporated with indicated buffers listed in a. c-d, Conductivity of electroporation buffers (c) and correlation analysis of the conductivity and transfection efficiency (d). e, (left) Confocal images of cGAS and Cy5-labeled dsDNA co-localization in mouse T cells. (right) Quantification of co-localized foci. f-g, Quantification of the cell diameter (f) and the cytoplasmic volume (g) of mouse T cells incubated under the indicated electroporation buffers for 10 minutes. h-i, Comparison of cell viability (h) and GFP positive cell number (i) using buffers with indicated osmolality between Sting–/–, cGas–/– and wildtype mouse T cells. DN100 program was used for electroporation in mouse T cell. Data represent mean ± SD, n = 3 from independent experiments in b-c, g-i. For e-f, each dot represents one cell and n = 58 (e) and n = 106 (f) were measured from three independent experiments. Statistical significance was determined by one-way ANOVA in e, f and g. and e; two-way ANOVA in h and i.