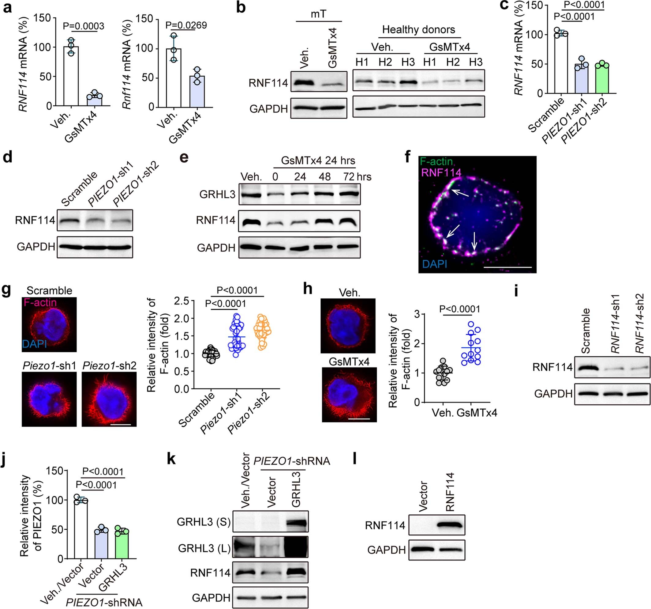
Extended Data Fig. 6: T cells exert its traction force through PIEZO1-GRHL3-RNF114 pathway.
From: PIEZO1 mechanically regulates the antitumour cytotoxicity of T lymphocytes

a, b, Activated CD8+ T cells from mice or healthy donors were treated with GsMTx4 (1 µM) for 24 hrs. The expression of RNF114 was determined by real-time PCR (a) and western blot (b). c, d, Activated CD8+ T cells from healthy donors were transfected with shRNAs targeting PIEZO1. The knockdown efficiency of RNF114 was determined by real-time PCR (c) and western blot (d). e, CD8+ T cells were treated with GsMTx4 for 24 hrs and then cultured in the absence of GsMTx4 for 24, 48, and 72 hrs. The expression of GRHL3 and RNF114 were determined by western blot. f, The localization of F-actin (green color) and RNF114 (magenta color) from CD8+ T cells was visualized by dSTORM microscope. White arrow indicated the sites of colocalization. g, Activated murine CD8+ T cells were transfected with shRNAs targeting Piezo1 and stained for F-actin. h, The immunostaining of F-actin from activated CD8+ T cells from mice treated with GsMTx4 (1 µM) for 24 hrs. i, Activated CD8+ T cells from healthy donors were transfected with shRNAs targeting RNF114. RNF114 expression was determined by western blot in sorted GFP+ T cells. j-l, GRHL3 or RNF114 was overexpressed upon PIEZO1 knockdown in Jurkat cells. The expression of PIEZO1, GRHL3 or RNF114 was determined by flow cytometry (j) or western blot (k, l). GRHL3 (S), short exposure time; GRHL3 (L), long exposure time. In (a-k), n = 3 independent experiments. In (f-h), scale bar, 5 µm. Two-tailed Student’s t-test (a) or one-way ANOVA followed by Bonferroni’s test (c, g, and j). The data represent mean ± s.d.