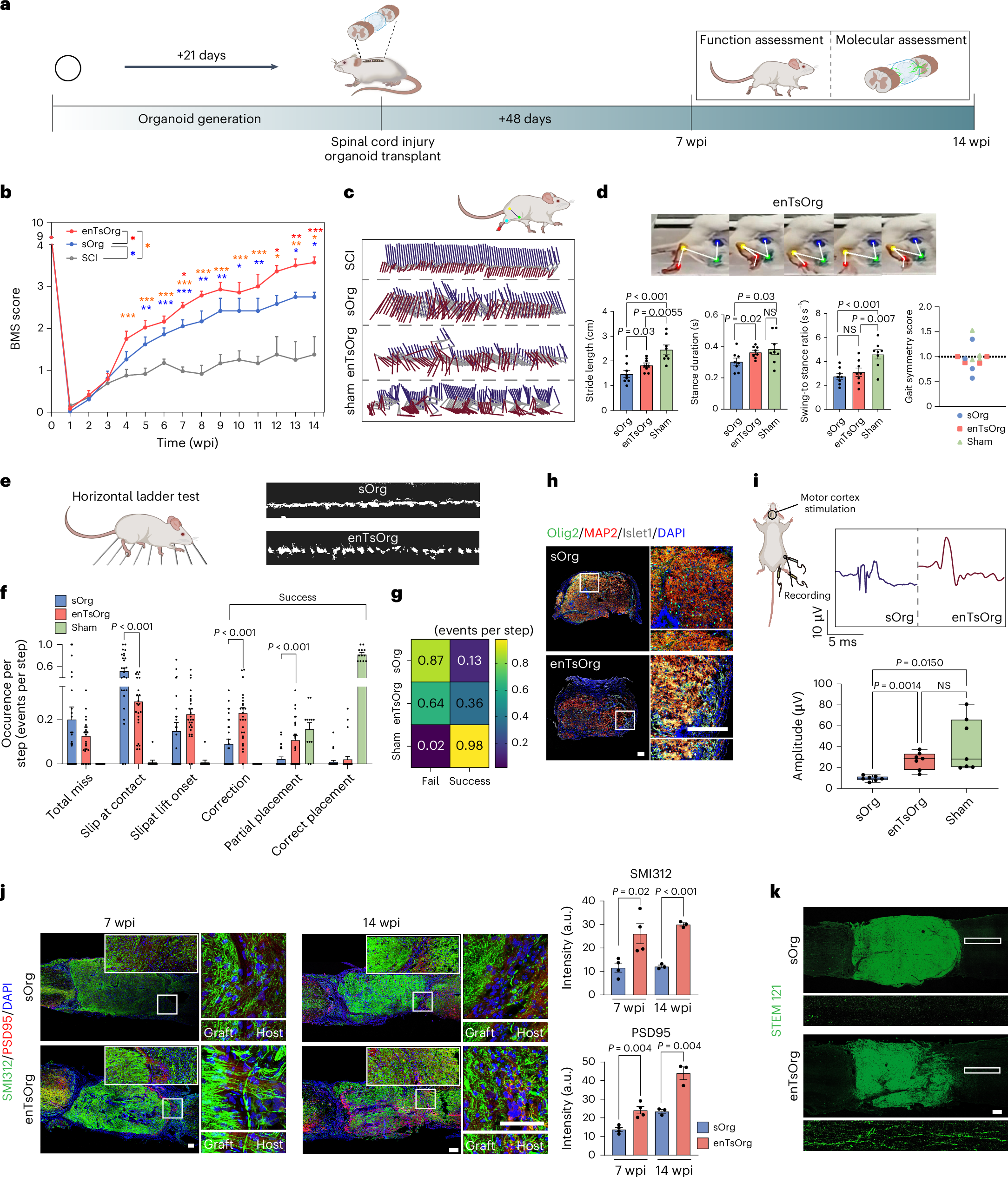
Fig. 2: Transplantation of enTsOrg into thoracic segmental SCI leads to pronounced restoration of motor and neurological function.
From: Engineered thoracic spinal cord organoids for transplantation after spinal cord injury

a, Schematic diagram of the experimental design. On day 21, the organoids were transplanted into animals for in vivo functional detection within 14 weeks of surgery. b, BMS of SCI mice in each treatment group. Two-way ANOVA followed by uncorrected Fisher’s LSD, n = 20–22 biological replicates per group in 1–7 weeks and n = 4–7 biological replicates in 8–14 weeks. *P < 0.05; **P < 0.01; ***P < 0.001. c, Stick diagrams obtained from lateral images of hind limbs during walking of each group at 14 weeks after the operation. The thighs, calves and feet are represented by blue, grey and red sticks, respectively. d, Representative image of the hind-limb position of mice during walking in the enTsOrg group 14 weeks after the operation. Bar graphs showing the stride length, stance duration, swing-to-stance ratio (the ratio of the swing phase duration to the stance phase duration of the bilateral hind limbs) and gait symmetry of the mice acquired with a digital footprint system. One-way ANOVA followed by Welch’s correction (n = 4 biological replicates). e, Schematic diagram of the horizontal ladder experiment with indication of hind-limb trajectory in sOrg and enTsOrg group while moving. f, Statistical histograms of the percentage of the total miss, slip at contact, slip at lift onset and successful position (correction, partial placement and correct placement) during the horizontal ladder experiment in each group in 14 weeks, two-sided unpaired t-test (sOrg, n = 14 biological replicates; enTsOrg, n = 14 biological replicates; sham, n = 6 biological replicates). g, Heat map of the percentage of failures and successes for each group during the horizontal ladder experiment. h, Fluorescence images of pMNs (Olig2), neuronal axons (MAP2) and MNs (ISL1) in spinal cord cross-sections of each group in 7 weeks, n = 3. The magnified areas are shown in the white boxes. i, Schematic diagram of MEP recording with representative curves and quantitative statistics for the sOrg, enTsOrg and sham groups in 7 weeks. One-way ANOVA followed by Welch’s correction, n = 7 biological replicates. j, Immunostaining results for a neurofilament marker (SMI312) and a postsynaptic dense protein (PSD95) in high-magnification images of spinal cord tissue 7 weeks (left) and 14 weeks (right) after transplantation, with bar graph showing quantification results. Two-sided unpaired t-test, n = 3 biological replicates. The magnified areas are shown in the white boxes. k, Representative immunohistochemistry images of human cytoplasmic marker (STEM121) in the sOrg and enTsOrg in 14 weeks, n = 3. Scale bars, 200 μm in h and k, and 100 μm in j. Data represent the mean ± s.e.m. in b, d, f and j. Data in i are presented as box-and-whisker plots showing the median (centre line), the 25th–75th percentiles (box limits) and the minimum and maximum values (whiskers); all individual measurements are shown as points overlaid on the plot. wpi, weeks post injury.