Extended Data Fig. 3: lmmature enTsOrg demonstrates enhanced spinal cord injury repair compared to mature organoids.
From: Engineered thoracic spinal cord organoids for transplantation after spinal cord injury

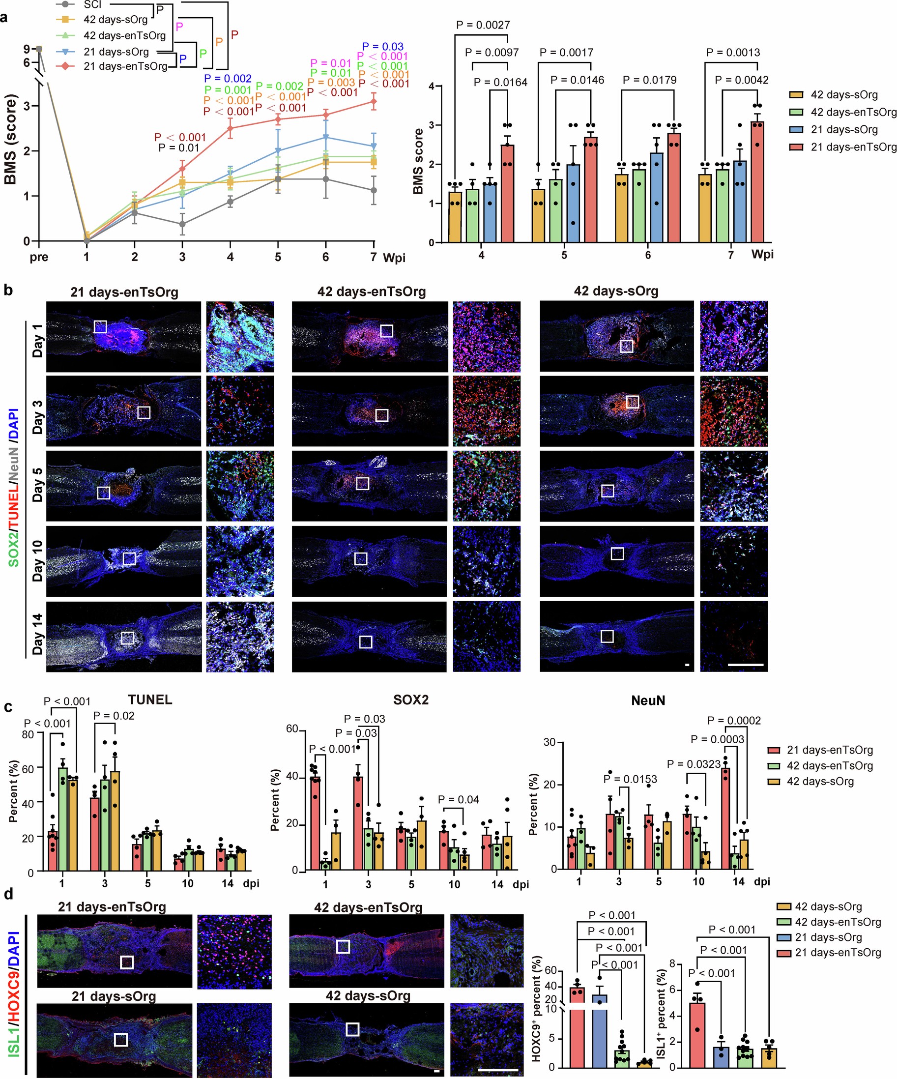
a, BMS score following organoid transplantation in SCI mice. Organoids were cultured in vitro for 21 or 42 days. Bar plots show BMS score at 4-7 weeks post-transplantation (right). Two-way ANOVA with Tukey’s multiple comparisons test was used (n = 5 in 21 days-enTsOrg and 21 days-sOrg group; n = 4 in SCI, 42 days-enTsOrg and 42 days-sOrg group, biological replicates). b, Representative immunostaining analyses of TUNEL, SOX2 and NeuN at various time points (days 1, 3, 5, 10 and 14) following the transplantation of enTsOrg (21 days and 42 days) and sOrg (42 days). c, Quantification results of TUNEL, SOX2 and NeuN in (b). Two-way ANOVA with Tukey’s multiple comparisons test was used (42 days-enTsOrg group: n = 4; 42 days-enTsOrg group: 1 dpi, n = 8; 3, 5, 10, 14 dpi, n = 4;42 days-sOrg group: 1, 5 dpi, n = 3; 3 dpi, n = 4; 10, 14 dpi, n = 5, biological replicates). d, Representative immunofluorescence images of HOXC9 and ISL1 in the enTsOrg and sOrg at 7 weeks post-transplantation. Bar graph (right) showing the percentage of HOXC9+ and ISL1+ cells in the enTsOrg and sOrg. One-way ANOVA with Tukey’s multiple comparisons test was used (n = 4, 21 days-enTsOrg group; n = 3,21 days-sOrg group; n = 11, 42 days-enTsOrg group; n = 5, 42 days-sOrg group, biological replicates). Data represent the mean ± s.e.m. (a, c, d). Scale bars, 200 μm in (b, d). dpi, days post injury; wpi, weeks post injury; TUNEL, terminal deoxynucleotidyl transferase-mediated dUTP nick end labeling; SCI, spinal cord injury; BMS, Basso Mouse Scale; HOXC9, homeobox C9.