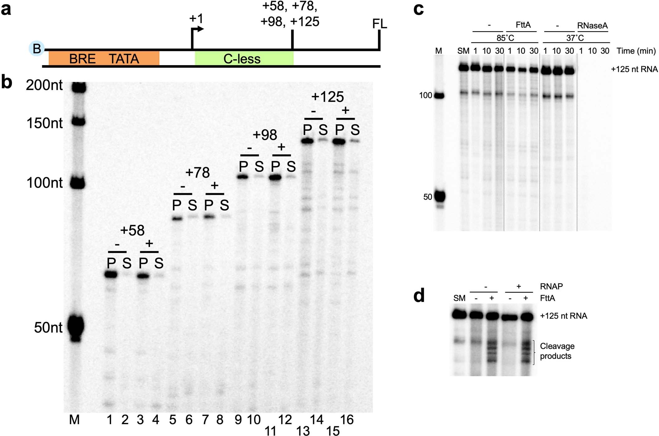
Extended Data Fig. 3: The RNA cleavage activity of FttA is stimulated by interactions with the archaeal TEC and FttA-mediated termination prefers C-rich transcripts.
From: FttA is a CPSF73 homologue that terminates transcription in Archaea

Promoter-directed transcription of biotinylated templates encoding a C-less cassette permits formation of TECs with increasing length A-, G-, and U-rich nascent transcripts, respectively. FL = full-length; all templates permit elongation for 100 nts beyond the C-less cassette. b, TECs remain stably associated and transcripts are primarily recovered in the pellet (P) fraction in the absence (-) of FttA. When FttA is present ( + ), but nascent transcripts are devoid of CMP, minimal FttA-mediated transcript cleavage or termination occurs, and transcripts are not released to the supernatant (S). Lane M contains 32P-labeled ssDNA markers. Similar results were observed in 3 independent experiments and quantified (n = 3) in Fig. 2d. c, FttA demonstrates minimal RNase activity on an isolated + 125 nt transcript. Control reactions with RNaseA demonstrate that the purified transcript is not resistant to the activity of RNases. Similar results were observed in 2 independent experiments. d, Addition of T. kodakarensis RNAP to reactions containing purified + 125 nt transcripts does not stimulate FttA activity over 30 min. Similar results were obtained in two independent experiments.