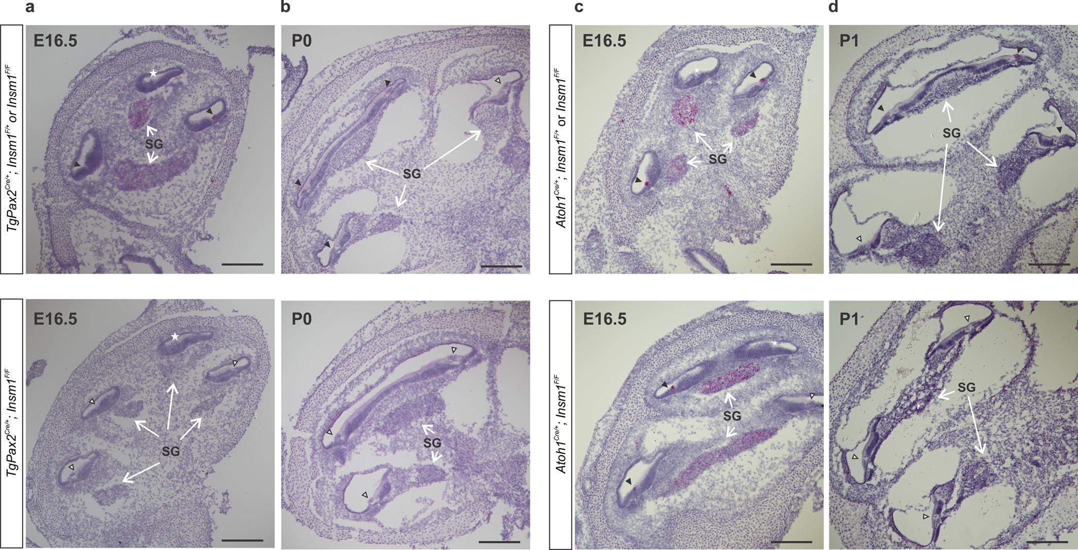
Extended Data Fig. 2: Conditional ablation of Insm1 in cochleae.
From: Trans-differentiation of outer hair cells into inner hair cells in the absence of INSM1

In situ hybridization for Insm1 transcripts on cryosections of embryonic E16.5 and neonatal (P0 and P1) cochleae. a–c, In control cochleae (top), Insm1 is expressed in all OHCs (72/72 OHCs from 3 animals) and spiral ganglion (SG; white arrows) at E16.5. However, no Insm1 was detected in the organs of Corti from apical turns, in which recognizable hair cells have not yet appeared (a, c; asterisks). By postnatal age P0–P1, Insm1 mRNA is present in 90% of OHCs (94/105 OHCs from 2 animals), and it is undetectable in spiral ganglion (b, d). a, b, Bottom, in TgPax2Cre/+;Insm1F/F mice, Insm1 mRNA is undetectable in spiral ganglion and in all OHCs from E16.5 (0/69 OHCs from 2 mice; a) and P0 (0/42 OHCs from 1 mouse; b) cochleae. c, d, Bottom, in Atoh1Cre/+;Insm1Flox/Flox cochleae, Insm1 mRNA is present in spiral ganglion and 43% of OHCs (18/42 OHCs from 1 animal) at E16.5 (c), reduced to 7% (4/54) at E17.5 (not shown), and entirely absent all OHCs (0/60 OHCs from 1 animal) and spiral ganglion by postnatal day P1 (d). For quantification at E16.5, we did not include organs of Corti from apical turns, which do not yet have recognizable hair cells. Filled arrowheads indicate organs of Corti with Insm1 expression, and empty arrowheads indicate organs of Corti without Insm1 expression. Scale bars, 200 µm.