Extended Data Fig. 4: Phenotypes of SprA partner deletion strains.
From: Type 9 secretion system structures reveal a new protein transport mechanism

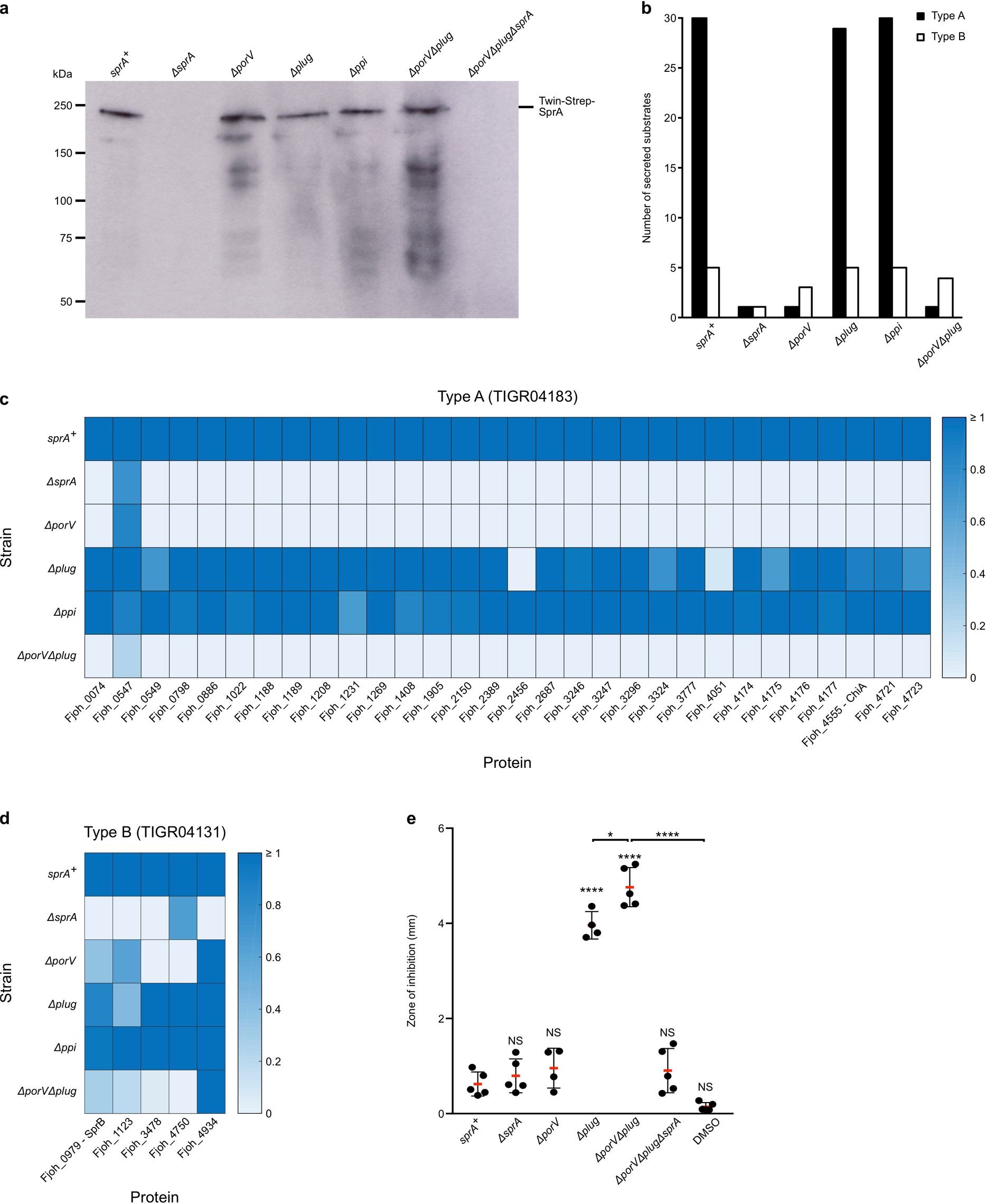
a, Immunoblot analysis of Twin-Strep–SprA levels in whole-cell lysates. Similar data were obtained for three biological repeats. For immunoblot source data, see Supplementary Fig. 1. b, Quantification by liquid chromatography–mass spectrometry of T9SS substrates detected in cell culture supernatants according to CTD type. A detection threshold of more than 1% of the protein abundance in the sprA+ parental strain was applied. c, d, Heat map representations of secreted T9SS substrates from b with type A CTDs (c) or type B CTDs (d). Protein intensities for each protein are normalized to the level detected in the sprA+ parental strain. e, Measurement of vancomycin inhibition zones in a disc diffusion assay. The mean radius of inhibition (red bar) was measured from the disc edge. Error bars represent s.d. (n = 4 for ΔporV and Δplug; n = 5 for other strains) and statistical significance is shown above each measurement set from a one-way ANOVA with post-hoc Dunnett’s test using sprA+ as control group (NS, not significant; ****P < 0.0001). Other comparisons (bracketed) use two-tailed unpaired t-tests; *P = 0.0134, ****P < 0.0001). A control for the DMSO solvent used to dissolve the vancomycin is shown. a–e, All sprA+ strains express the Twin-Strep–SprA fusion protein.