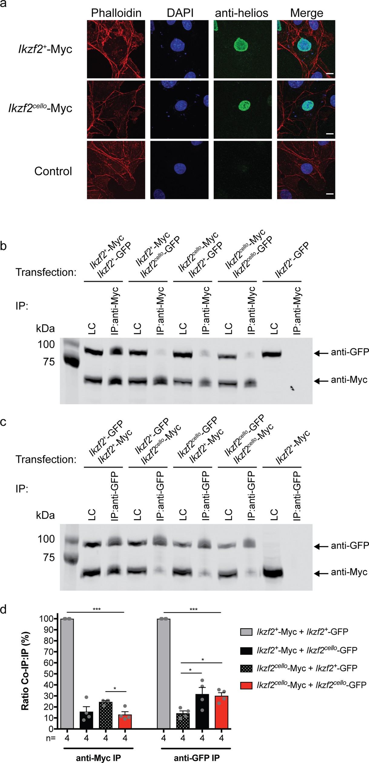
Extended Data Fig. 3: The Ikzf2cello mutation disrupts homodimerization of Helios.
From: Helios is a key transcriptional regulator of outer hair cell maturation

a, Cos-7 cells transfected with Ikzf2+- or Ikzf2cello-Myc. Nuclear localization is unaffected by the Ikzf2cello mutation. n = 2 biologically independent experiments. Scale bars, 10 µm. b, Co-immunoprecipitation (IP) of Myc-tagged (62 kDa) and GFP-tagged (88 kDa) Ikzf2+ and Ikzf2cello constructs. Transfected cell lysates were immunoprecipitated using an anti-Myc antibody and analysed by western blotting with both anti-Myc and anti-GFP antibodies. Results show that wild-type Ikzf2+ Helios can dimerize, but that dimerization is impaired by the cello mutation. LC, cell lysate loading control. c, Reciprocal immunoprecipitation reactions using an anti-GFP antibody confirm dimerization of wild-type Ikzf2+ Helios and reduced dimerization of mutant Ikzf2cello Helios. d, Quantification of co-immunoprecipitation western blots. Band intensities were determined and used to calculate the relative ratio of the co-immunoprecipitation to immunoprecipitation signal. n = 4 biologically independent experiments. Data are mean ± s.e.m. Anti-Myc IP: ***P < 0.0001 (Ikzf2+-Myc + Ikzf2+-GFP vs Ikzf2+-Myc + Ikzf2cello-GFP, vs Ikzf2cello-Myc + Ikzf2+-GFP and vs Ikzf2cello-Myc + Ikzf2cello-GFP). *P = 0.0476 (Ikzf2cello-Myc + Ikzf2+-GFP vs Ikzf2cello-Myc + Ikzf2cello-GFP). P = 0.1488 (Ikzf2+-Myc + Ikzf2cello-GFP vs Ikzf2cello-Myc + Ikzf2+-GFP). P = 0.9020 (Ikzf2+-Myc + Ikzf2cello-GFP vs Ikzf2cello-Myc + Ikzf2cello-GFP). Anti-GFP IP: ***P < 0.0001 (Ikzf2+-Myc + Ikzf2+-GFP vs Ikzf2cello-Myc + Ikzf2+-GFP, vs Ikzf2+-Myc + Ikzf2cello-GFP and vs Ikzf2cello-Myc + Ikzf2cello-GFP). *P = 0.0202 (Ikzf2cello-Myc + Ikzf2+-GFP vs Ikzf2+-Myc + Ikzf2cello-GFP) *P = 0.0346 (Ikzf2cello-Myc + Ikzf2+-GFP vs Ikzf2cello-Myc + Ikzf2cello-GFP). P = 0.9894 (Ikzf2+-Myc + Ikzf2cello-GFP vs + Ikzf2cello-Myc + Ikzf2cello-GFP) (one-way ANOVA with Tukey post hoc test). See Supplementary Fig. 1 for source images.