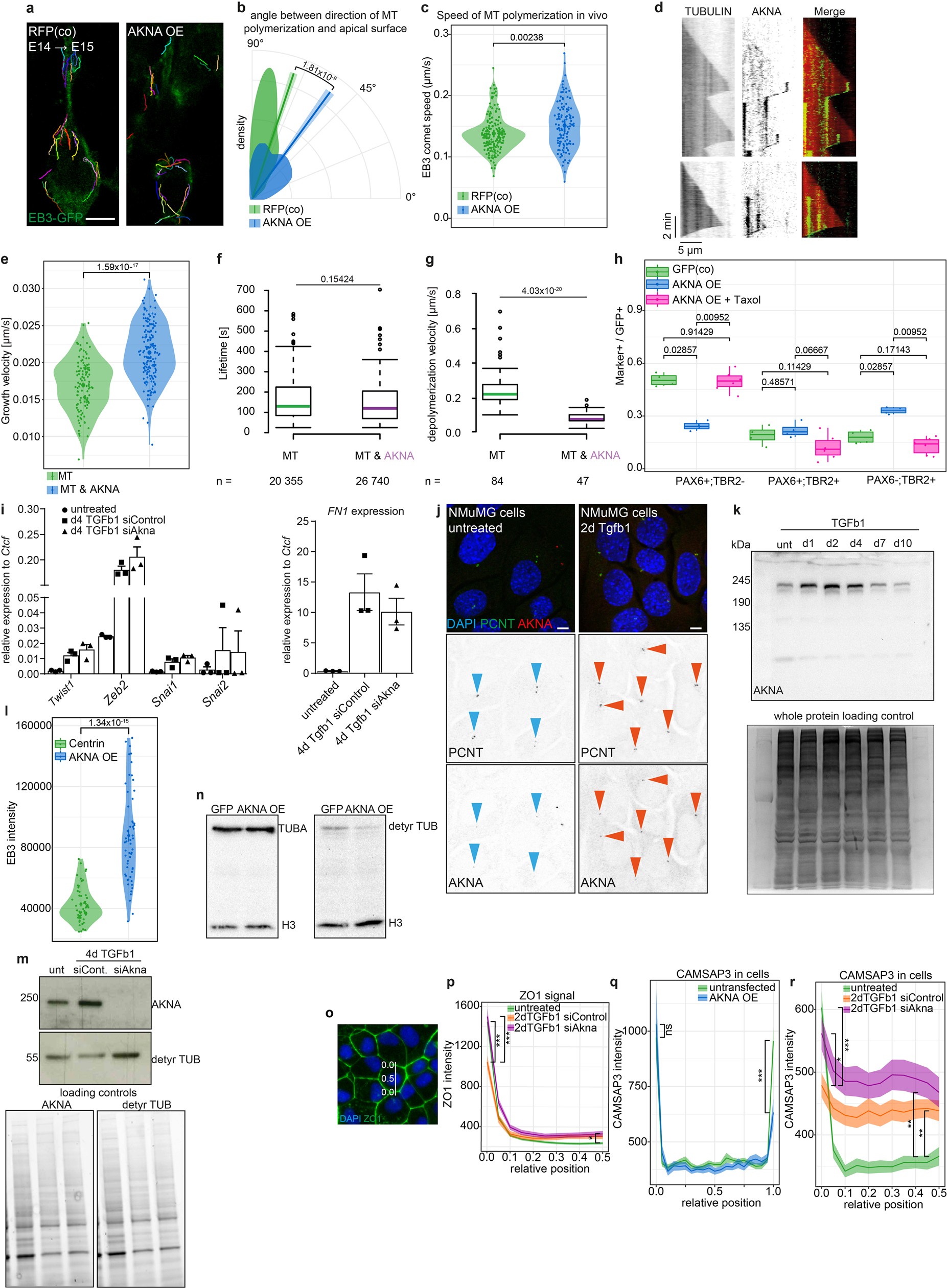
Extended Data Fig. 8: CAMSAP3 in the developing cortex, AKNA binding to and effects on purified microtubules, and AKNA regulation and function during EMT in mammary epithelial cells.
From: The centrosome protein AKNA regulates neurogenesis via microtubule organization

a–c, AKNA overexpression in E14 cortex influences both the orientation (a, b, control, 117 EB3-comets; AKNA overexpression, 122 EB3-comets in 3 experiments; plot shows the distribution and solid line indicates the mean, ± s.e.m. as transparent band) and speed (c, control, 178 EB3-comets; AKNA overexpression, 113 EB3-comets) of microtubule polymerization monitored by live imaging of EB3–GFP in cortical slices 1 day after IUE. d, Representative kymographs obtained from TIRF time-lapse images of microtubules assembled in vitro from bovine brain tubulin labelled with Cy5 in the presence of AKNA–GFP. Cy5 is shown in red and GFP in green. e–g, Dynamic instability parameters of microtubules assembled from bovine brain tubulin with and without AKNA. Tubulin concentration was 15 μM and AKNA concentration was 75 ng ml−1. In reactions containing AKNA, the growth velocity was increased. Moreover, the mean depolymerization velocity of shrinking plus ends without an AKNA signal was 0.27 μm s−1, and the mean velocity was 0.10 μm s−1 when AKNA was associated with the plus end (g). e, f, Microtubule, n = 117; microtubule and AKNA, 174; g, microtubule, n = 84; microtubule and AKNA, n = 47 single measurements made from 2 (microtubule) and 3 (microtubule and AKNA) independent experiments. h, Box plot showing marker expression 24 h after IUE of GFP (control) (n = 4 embryos), AKNA overexpression (n = 4 embryos) and AKNA overexpression supplemented with Taxol (20 μM) (n = 6 embryos). GFP (control) and AKNA overexpression is the same data as shown in Fig. 1j. Note that the addition of Taxol during IUE rescues the phenotype of AKNA overexpression. i, Bar graph illustrating the mRNA expression of Twist1, Zeb2, Snai1, Snai2 and Fn1 by qRT–PCR (n = 3 individual experiments) after TGFβ1 treatment and siRNA transfection (data are shown as mean ± s.e.m.). j, AKNA immunofluorescence in untreated and TGFβ1-treated (two-day treatment) NMuMG cells. Red arrows indicate AKNA− centrosomes (PCNT+) in untreated cells, and blue arrows indicate AKNA+ centrosomes in TGFβ1-treated cells. k, Western blot showing AKNA protein increase during the first days after EMT induction, and subsequent decrease to levels similar to those in untreated cells. Coomassie-stained gel showing equal loading is shown below. l, Dot and violin plot depicting the EB3–GFP fluorescence intensity measured at the centrosome in control (Centrin–tdTomato) and AKNA–mKO2 overexpression NMuMG cells, indicating the increased centrosomal microtubule nucleation after AKNA overexpression (GFP, 57 cells; AKNA overexpression, 56 cells). m, Western blot of AKNA and de-tyrosinated tubulin in untreated cells, and in cells transfected with control and Akna siRNA after four days of TGFβ1 treatment. Note the efficient knock down of AKNA by siRNA treatment, and the concomitant increase in detyrosinated tubulin. Whole protein detection illustrating equal protein loading is shown below. n, Western blot of TUBA and detyrosinated tubulin in control (GFP) and AKNA overexpression-transfected NMuMG cells 12 h after transfection. Note the decrease in detyrosinated tubulin upon AKNA overexpression. o, Micrograph illustrating how the quantification for ZO-1 was performed in p. p, Line graph depicting the quantification of ZO-1 intensity profiles across cells along white lines (see also Fig. 3a) (untreated, n = 60 cells; TGFβ1-treated, control siRNA, n = 55 cells; TGFβ1-treatment, Akna siRNA, n = 76 cells; cell junctions = position 0). *P ≤ 0.05, **P ≤ 0.01, ***P ≤ 0.001 (exact P values (from left to right) 5.2 × 10−6, 0.00004 and 0.04177). q, Line graph depicting the quantification of CAMSAP3 intensity profiles across cells, as indicated in Fig. 3e (untransfected, n = 26 cells; AKNA overexpression, n = 22 cells). NS, not significant, ***P ≤ 0.001 (exact P values (from left to right) 0.53142 and 0.00003). r, Line graph depicting the quantification of CAMSAP3 intensity profiles across cells, as in Fig. 3e (untreated, n = 42 cells, TGFβ1-treated and control siRNA, n = 51 cells; TGFβ1-treated and Akna siRNA, n = 50 cells). *P ≤ 0.05, ***P ≤ 0.001 (exact P values (from left to right) 0.02478, 0.00038, 0.00095 and 0.00086). f–h, Box plots show median, quartiles (box) and range (whiskers). c, e, l, Violin plots show distribution of individual measurements (dots) with mean ± s.e.m. in bold in the centre (two-sided Mann–Whitney U test). Scale bars, 5 μm (j), 25 μm (a).