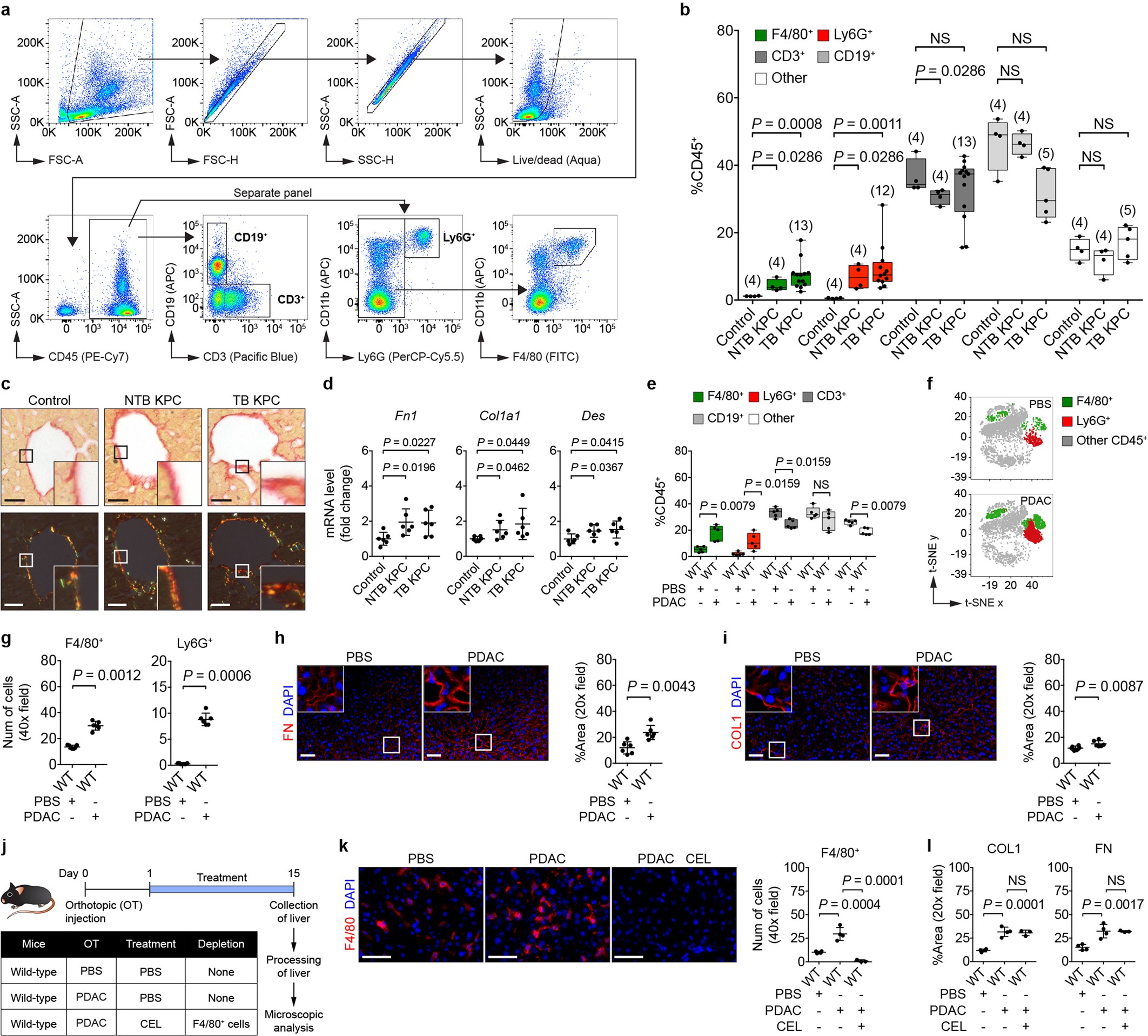
Extended Data Fig. 1: Primary PDAC development induces myeloid cell accumulation and fibrosis within the liver.
From: Hepatocytes direct the formation of a pro-metastatic niche in the liver

a, Gating strategy for identification of F4/80+, Ly6G+, CD3+, and CD19+ cells. Representative images from flow cytometric analysis of cells isolated from the liver of a tumour-bearing KPC mouse are shown. b, Quantification of immune cells in the liver by flow cytometry. Numbers in parentheses indicate the number (n) of mice. Data pooled from four experiments. c, Representative Sirius red staining of the liver (n = 5 for all groups) viewed using standard light microscopy (top) and polarized light (bottom). d, mRNA levels of Fn1, Col1a1, and Des in the liver (n = 6 for all groups). Data pooled from two experiments (c, d). e–i, Wild-type mice were orthotopically injected with PBS or PDAC cells and analysed on day 20. e, Quantification of immune cells in the liver by flow cytometry (n = 5 for both groups). f, t-distributed stochastic neighbour embedding (t-SNE) 2D plots of immune cells analysed in e. g, Quantification of myeloid cells in the liver (n = 7 for PBS and n = 6 for PDAC). h, i, Images and quantification of fibronectin and COL1 in the liver (n = 6 for both groups). Data representative of at least two independent experiments (e–i). j, Study design for k and l (n = 4 for mice injected with PBS; n = 4 and 3 for mice injected with PDAC cells and then intraperitoneally injected with PBS and clodronate-encapsulated liposomes (CEL), respectively). k, Images and quantification of F4/80+ cells in the liver. l, Quantification of COL1 and fibronectin in the liver. Data representative of one experiment (j–l). Scale bars, 100 μm (c) and 50 μm (other panels). Statistical significance calculated using two-tailed unpaired Student’s t-test (d), one-way ANOVA with Dunnett’s test (k, l), and two-tailed Mann–Whitney test (other panels). NS, not significant. Data represented as mean ± s.d., except b and e, which are shown as box plots (centre line, median; box limits, upper and lower quartiles; whiskers, maximum and minimum values).