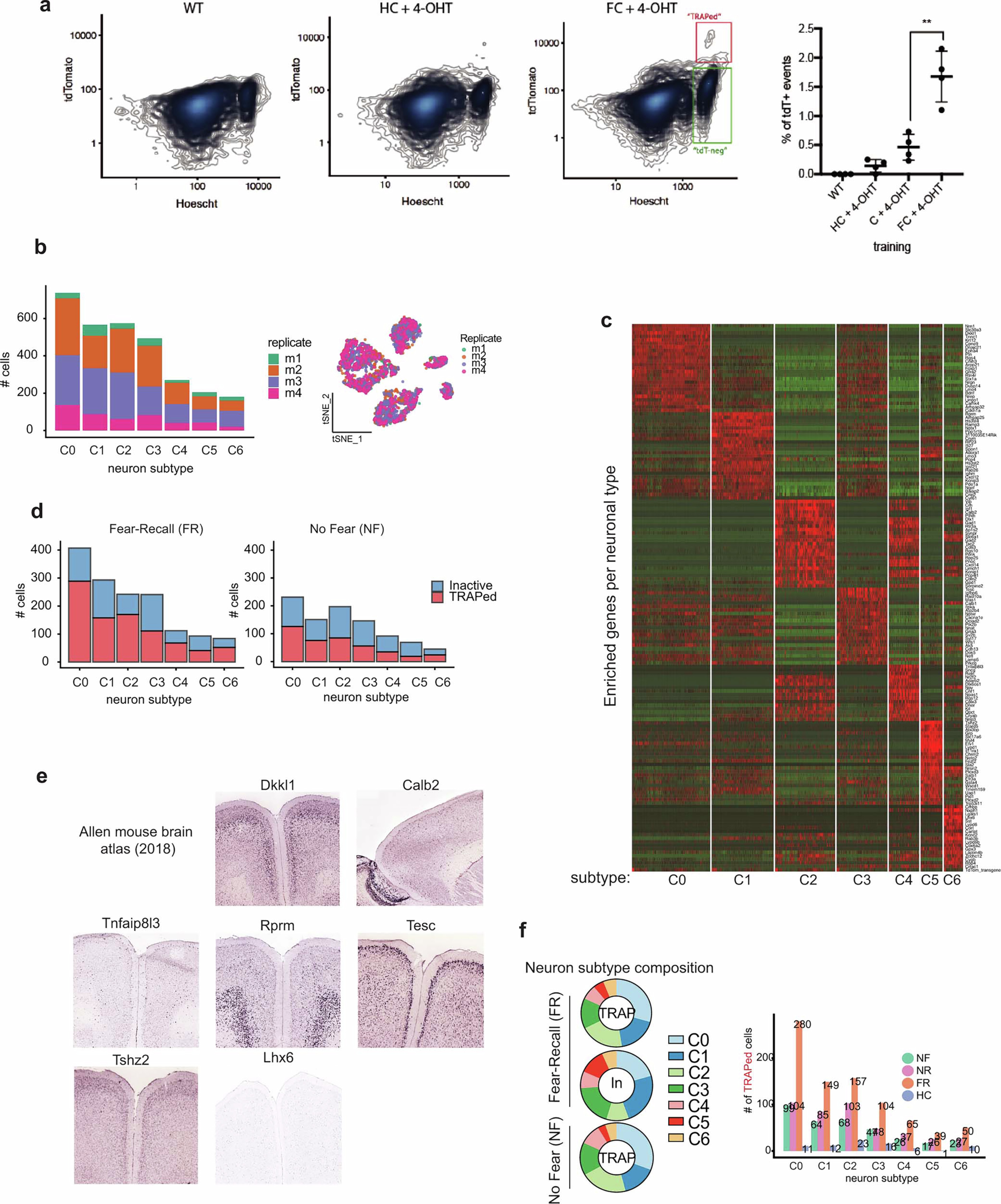
Extended Data Fig. 2: Distribution of cell numbers and neuronal subtypes across various training conditions.
From: Persistent transcriptional programmes are associated with remote memory

a, Representative flow cytometry plot of the amount of tdT+ events per training condition. In scatter plot, each point represents one mouse (mean ± s.d.). b, Number of cells from each biological replicate that were annotated as one of 7 defined neuron subtypes (C0–C6). c, Scaled expression of the top marker genes for each neuron subtype. d, Number of TRAPed and Inactive cells (as defined by non-zero expression of tdT mRNA) collected per neuron subtype, in either fear-recall (FR) or no-fear (NF) mice. e, Representative images of subtype marker genes (C0–C6) in the Allen Brain ISH atlas. f, Neuron subtype composition of FR and NF populations. Number of TRAPed (tdT mRNA+) cells collected in each experimental condition that fall in one of 7 neuronal subtype categories.