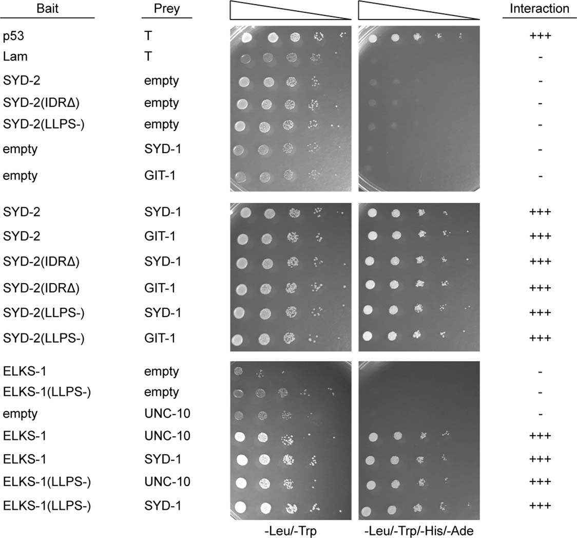
Extended Data Fig. 6: Phase-separation mutants of SYD-2 and ELKS-1 retain the ability to bind partners.
From: Assembly of synaptic active zones requires phase separation of scaffold molecules

Shown are the results of yeast two-hybrid assays using the indicated bait and prey constructs. Protein–protein interactions are indicated by growth on −His/−Ade media.