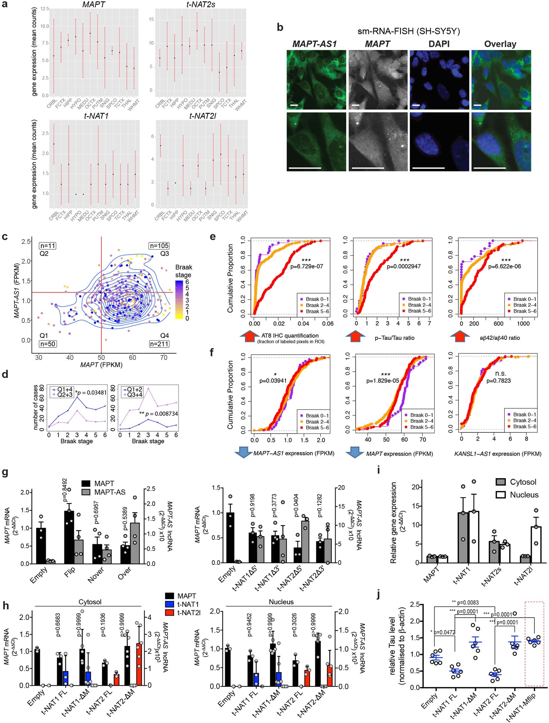
Extended Data Fig. 3: Expression of MAPT and MAPT-AS1 across brain regions and inverse correlation to tau pathology; levels and localization of endogenous MAPT mRNA is unaffected by stable expression of MAPT-AS1, whereas tau protein is increased by MAPT-AS1 with a flipped-MIR.
From: MIR-NATs repress MAPT translation and aid proteostasis in neurodegeneration

a, RNA-Seq read counts from8, for MAPT mRNA and MAPT-AS1 lncRNA transcripts (t-NAT2 s, t-NAT1, t-NAT2l) across 12 different regions of four independent human brains. Values represent mean counts ± s.d. CBRL, Cerebellum; FCTX, frontal cortex; HIPP, hippocampus; HYPO, hypothalamus; MEDU, medulla; OCTX, occipital cortex; PUTM, putamen; SNIG, substantia nigra; SPCO, spinal cord; TCTX temporal cortex; THAL, thalamus; WHMT white matter. b, single-molecule RNA fluorescent in situ hybridization (smRNA-FISH) showing MAPT-AS1 (green) and MAPT (grey) transcripts expressed both in nucleus (DAPI, blue) and cytoplasm of SH-SY5Y neuroblastoma cells. Representative images of n = 3 independent experiments. Scale bars represent 10 μm. c, 2d-density scatter plot of MAPT-AS1 and MAPT expression (FPKM) from post-mortem brains (Allen Brain Institute) coloured by Braak-stage. Red lines delimit middle points. Inset numbers represent samples. d, Braak-stage distributions within upper (Q2+3), lower (Q1+4), left (Q1+2) or right (Q3+4) hemi-plot as in c are significantly different (two-sided unpaired Wilcoxon Rank-Sum test). e, Cumulative proportion (y-axis) of phospho-tau immunohistochemistry (AT8-IHC, fraction of labelled pixels in ROI), phospho-tau to total-tau ratio (p-Tau/Tau ratio) and Aß42 to Aß40 ratio (aß42/aß40 ratio) (x-axis) for different Braak-stages (0-1, 2-4, 5-6). f, Cumulative proportion (y-axis) of MAPT, MAPT-AS1 and KANSL1-AS1 gene expression levels (normalized FPKM, x-axis) for different Braak-stages (0-1, 2-4, 5-6). For data in e, f, *P < 0.05, ***P < 0.001 two-sided Kolmogorov–Smirnov (KS) test, n = 377 human post-mortem brains. RNA-seq, IHC and Illuminex-immunoassay data in this analysis are from the Allen Brain Institute’s Dementia, Ageing and Traumatic Brain Injury study (http://aging.brain-map.org/)9. g, Normalized MAPT and MAPT-AS1 RNA expression levels (fold-changes) detected by RT–qPCR from SH-SY5Y cells stably expressing different deletion mutants of MAPT-AS1: t-NAT1 with flipped overlapping region (Flip), t-NAT1 with region not-overlapping with 5′UTR (Nover), t-NAT1 with overlapping region (Over), tNAT1 with deleted 5′-exon (t-NAT1Δ5′), tNAT1 with deleted 3′-exon (t-NAT1Δ3′), t-NAT2l with deleted 5′-exon (t-NAT2Δ5′), t-NAT2l with deleted 3′-exon (t-NAT2Δ3′). Values are normalized to cells stably transfected with an empty vector (Empty). Data represent independent SH-SY5Y clones stably expressing each construct (n = 3 for Empty, n = 4 for Flip, Nover and Over, mean ± s.d.; two-sided Kruskal–Wallis with Dunn’s multiple comparison test). h, Both full-length (FL) and mutants with deleted MIR element (ΔM) of MAPT-AS1 localize to both cytosol and nucleus without altering the nucleo-cytoplasmic distribution of MAPT mRNA as detected by RT–qPCR. (data represent independent SH-SY5Y clones stably expressing each construct: n = 3 Empty, n = 3 t-NAT1-FL, n = 6 t-NAT1-ΔM, n = 3 t-NAT2-FL, n = 6 t-NAT2-ΔM, mean ± s.d.; two-sided Kruskal–Wallis with Dunn’s multiple comparison test). i, Quantitative expression of human MAPT-AS1 and MAPT transcripts measured by RT–qPCR (2-ΔΔCt) in sub-cellular fractions of SH-SY5Y cells, (n = 3 independent experiments, mean ± s.d.). j, Quantification of immunoblots probed with anti-tau and anti-β-actin antibodies. Protein lysates (20μg) from independent clones of SH-SY5Y cells stably expressing different MAPT-AS1 splice-isoforms, either full-length (t-NAT1-FL, t-NAT2-FL), with deleted MIR (t-NAT1-ΔM, t-NAT2-ΔM) or with a flipped MIR repeat (t-NAT1-Mflip). For each construct, total tau was normalized to β-actin levels quantified using ImageJ (n = 6 independent stable clones, mean ± s.d.; one-way ANOVA with Dunnett’s test). As with the whole deletion of MIR (t-NAT1-ΔM), flipped MIR (t-NAT1-Mflip, delimited by red lines) increases tau protein.