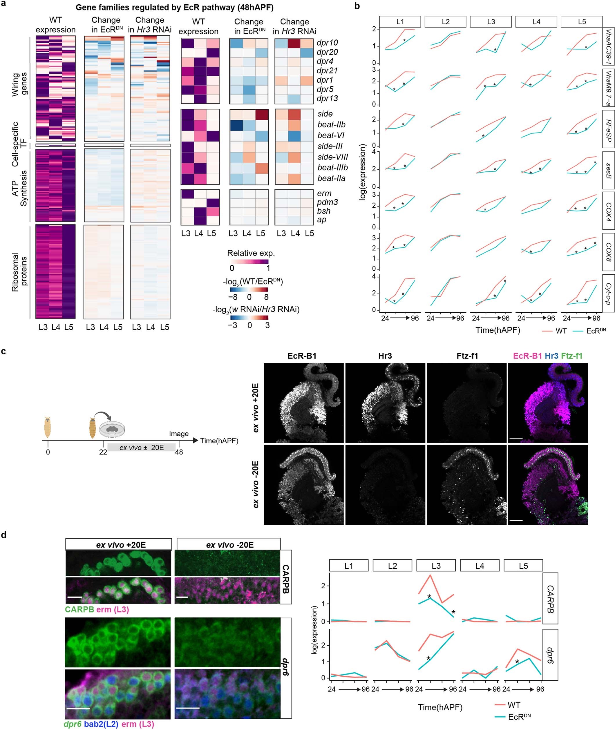
Extended Data Fig. 10: Families of genes affected by Ecdysone-pathway and verification using ex vivo culture of pupal brain.
From: A global timing mechanism regulates cell-type-specific wiring programmes

a, Relative WT expression (left), change in expression with EcRDN (center), and change in expression with Hr3 RNAi (right) shown as heat maps for all genes expressed in L3-L5 neurons belonging to the specified gene categories at 48hAPF. Examples of genes belonging to the Dpr family, Side-Beat family and cell-type specific transcription factors are shown separately. b, Expression of some genes involved in ATP synthesis and vacuolar ATPase biology are shown with and without EcRDN in L1-L5 neurons across development. *, fold change between WT and EcRDN > 2, p-value < 0.05. Note: expression in adults is not significantly affected by EcRDN. p-value from two-sided Wilcoxon rank sum test. c, Left, schematic of experimental setup (see Methods). Briefly, brains are dissected at 22hAPF then incubated for 26h in media ± 20E (20 HydroxyEcdysone, active form of Ecdysone). Right, optic lobes stained for EcR-B1, Hr3 and Ftz-f1 cultured ex vivo ± 20E. Scale bar, 50μm. d, Left, Staining for CARPB and dpr6 reporters (reporter lines, see Methods) in lamina neuron cell-bodies ± 20E. Scale bar, 10μm. Right, CARPB and dpr6 expression with (blue) or without (red) EcRDN. *, fold change between WT and EcRDN > 2, p-value < 0.05, two-sided Wilcoxon rank sum test. Note: dpr6 expression is unchanged in L2 with pan-lamina expression of EcRDN, however staining in brains cultured ex vivo without 20E in the medium shows reduced protein expression in L2 (Bab2 positive cell-bodies). This is consistent with weak activity of the pan-lamina driver (9B08 Gal4) in L2 at 48hAPF leading to ineffective inhibition of the Ecdysone-pathway (see Extended Data Fig. 5c). For number of replicates and exact p-values, see Supplementary Table 10.