Extended Data Fig. 1: Effects of Anti-FSHβ Antibody in Reversing Ovariectomy-Induced Neuropathology in 3xTg Mice.
From: FSH blockade improves cognition in mice with Alzheimer’s disease

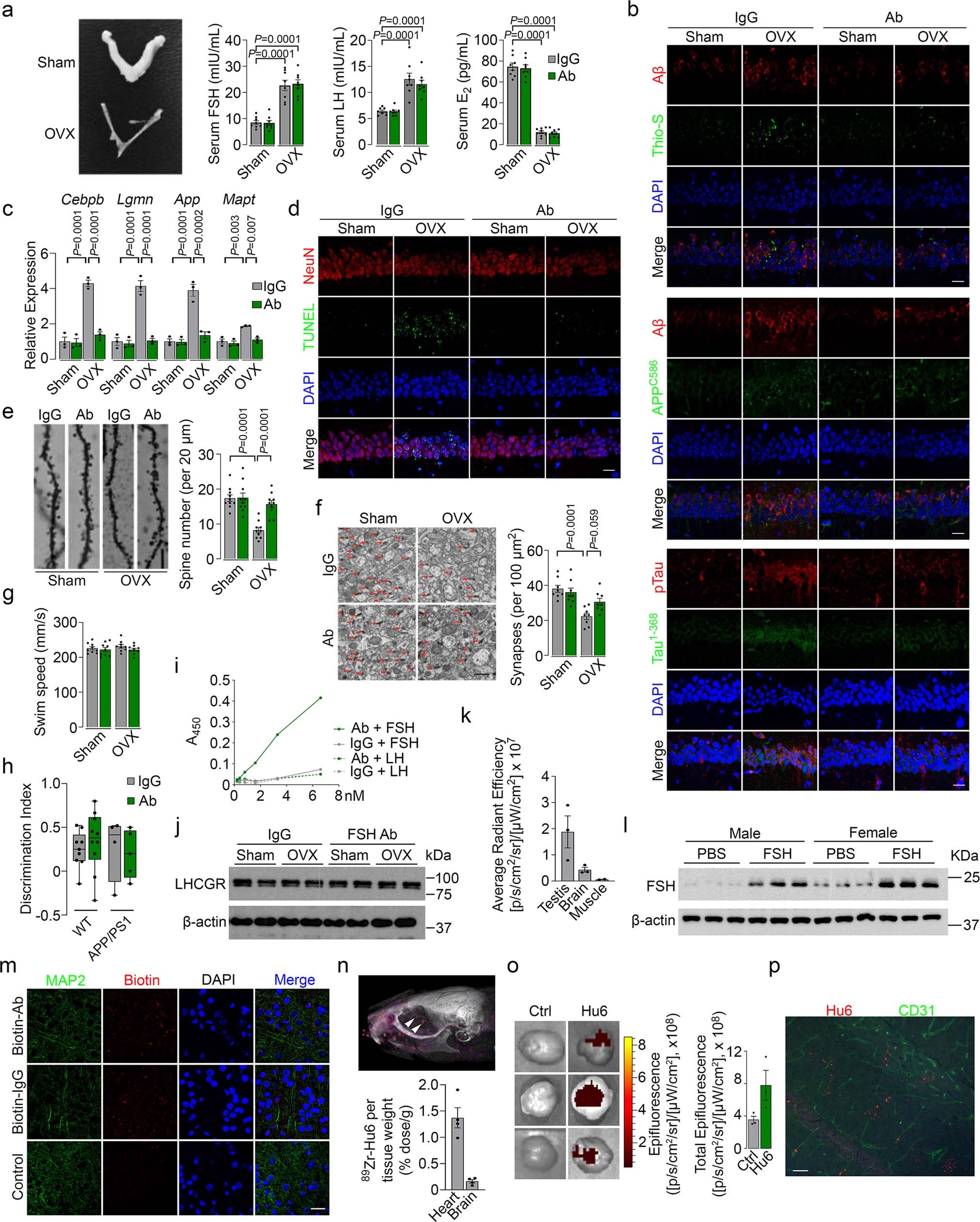
a, Ovariectomized 3xTg mice displayed hypoplastic thread-like uteri and elevated serum FSH and LH levels. FSH-Ab (200 µg/mouse, every 2 days, i.p., 8 weeks) did not alter total serum FSH, LH or 17β-estradiol levels. Statistics: mean ± s.e.m., N = 8 mice per group, one-way ANOVA. b, Immunofluorescent micrographs showing enhanced labelling in the following pairs: amyloid β (Aβ, red) and thioflavin-S (Thio-S, green); Aβ (red) and cleaved APPC586 (green); and pTau (red) and Tau1–368 (green) in the hippocampus after OVX, and its amelioration with FSH-Ab (scale bar, 20 μm). c, Upregulation of Cebpb, Lgmn, App and Mapt in OVX mouse brains, with reversal to near-baseline with FSH-Ab. Statistics: mean ± s.e.m., N = 3 mice per group, one-way AVOVA. d, Immunofluorescence micrographs showing that OVX induces apoptosis (TUNEL, green) in hippocampal NeuN-positive neurons (red); this apoptosis is abolished by FSH-Ab (scale bar, 20 μm). e, Golgi staining on brain sections from CA1 region post-OVX shows a substantial reduction in spine numbers, which is corrected with the FSH-Ab (scale bar, 5 μm). Statistics: mean ± s.e.m., N = 3 mice per group (10 sections), one-way AVOVA. f, Transmission electron micrographic images and quantitative analysis of synapses in hippocampal sections post-OVX treated with IgG or FSH-Ab (scale bar, 1 μm). Statistics: mean ± s.e.m., N = 3 mice per group (8 sections), one-way AVOVA. g, Morris Water Maze testing shows no differences in swim speed. Statistics: mean ± s.e.m., N = 9 mice per group, one-way ANOVA. h, Cognitive testing using the Novel Object Recognition test revealed the absence of significant difference between APP/PS1 and non-transgenic mice in Discrimination Index [(Novel Object Head Entry – Familiar Object Head Entry)/Total Head Entry]; the result is expected at 9 months of age in APP/PS1 mice. Thus, no effect of FSH-Ab was noted at this age, despite the reduction in Aβ40 and Aβ42 accumulation shown in Fig. 1f. Statistics: mean ± s.e.m., mice per group 9, 10, 4 and 4 from left to right; Whisker plot, upper and lower ends of the whiskers show maxima and minima, line in box shows median, and upper and lower box boundaries show 75th and 25th percentile, respectively; unpaired two-tailed Student’s t-test; i, ELISA showing no cross-reactivity of FSH-Ab with LH. j, Western immunoblot showing no change in expression of the LHCGR in whole brain lysates upon OVX or FSH-Ab treatment (N = 2 mice per group). k, IVIS imaging of isolated tissues from mice injected with AlexaFluor750–FSH, i.v., showing localization of FSH in the brain (N = 3 mice per group). l, Western immunoblots of whole brain lysates showing that i.p. injection of human FSH (5 IU) causes an elevation of brain FSH (N = 3 mice per group). m, Immunofluorescence micrographs showing the detection of peripherally injected (i.p.) biotinylated FSH-Ab (red) and biotinylated goat IgG (red) in brain sections (scale bar, 20 μm). Note the absence of cellular or nuclear co-localization with MAP2 or DAPI, respectively. n, Representative PET image shows that 89Zr-labelled humanized monoclonal FSH-Ab (89Zr-Hu6), injected i.v., is localized to live brain (arrows). γ-counting in perfused tissue shows presence of 89Zr-Hu6 in dissected brain tissue at 24 and 48 h post-injection (N = 4 mice). o, IVIS imaging and quantitation with AlexaFluor750-labelled Hu6, given i.v. shows localization in perfused whole brain tissue; N = 3 mice per group. Control (Ctrl): phosphate-buffered saline (PBS). p, Confirmatory immunofluorescence on the same mice (o) using anti-human IgG showing Hu6 localization (red) in proximity to CD31+ endothelial cells (green) (scale bar, 100 µm). For gel source data, see Supplementary Fig. 1.