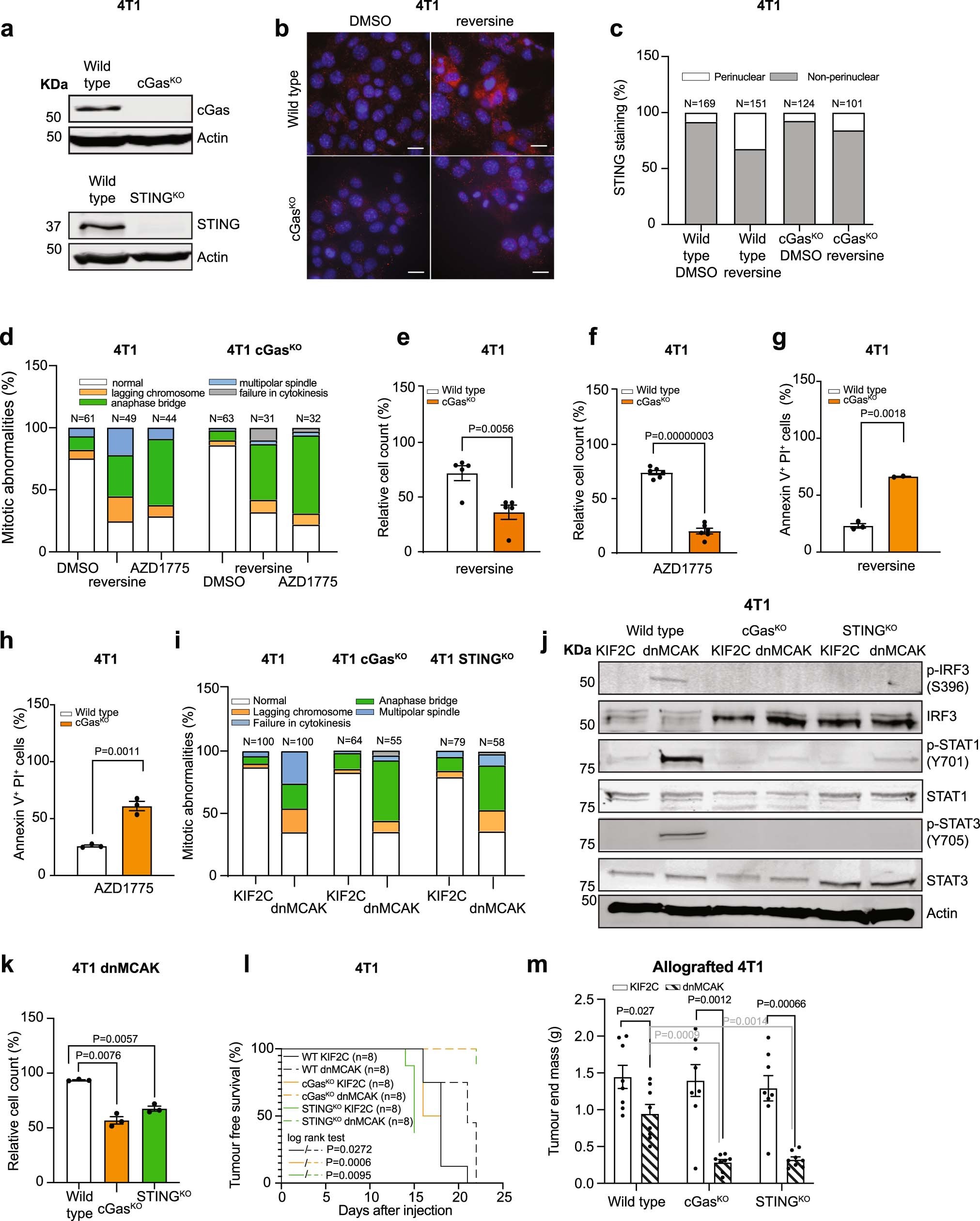
Extended Data Fig. 3: Loss of cGas signalling sensitizes mouse 4T1 TNBC cells to acute and chronic CIN in cell cultures and in vivo.
From: cGAS–STING drives the IL-6-dependent survival of chromosomally instable cancers

a) Immunoblots of wild type, cGasKO and STINGKO 4T1 cell lysates to validate loss of cGas (top panel) and STING (bottom panel) protein. ß-Actin is used as a loading control. b) Representative images of DMSO- or 250 nM reversine-treated wild type or cGasKO 4T1 cells stained with DAPI (DNA) and anti-STING antibody showing reduced peri-nuclear STING localization in cGasKO 4T1 cells. Scale bar equals to 5 µm. c) Quantification of cells with peri-nuclear and non-perinuclear localization of STING. The number of quantified cells – n – is shown in the figure. d) Quantification of mitotic abnormalities observed in wild type or cGasKO 4T1 cells expressing Histone H2B-mCherry treated with DMSO, 250 nM reversine, or 500 nM AZD1775. e–f) Control DMSO-normalised cell counts for wild type or cGasKO 4T1 cells treated with 250 nM reversine for 72 hours (e) or 500 nM AZD1775 for 48 hours (f). g–h) Fraction of apoptotic cells quantified by Annexin V staining of wild type or cGasKO 4T1 cells treated with 250 nM reversine for 72 hours (g) or 500 nM AZD1775 for 48 hours (h). i) Quantification of mitotic abnormalities observed in wild type; cGasKO, or STINGKO 4T1 cells expressing KIF2C (CINlow) or dnMCAK (CINhigh). j) Immunoblots of lysates from wild type, cGasKO, or STINGKO KIF2C (CINlow) or dnMCAK (CINhigh) expressing 4T1 cells for phosphorylated and total IRF3, STAT1 and STAT3. ß-Actin is used as a loading control. k) KIF2C-normalised cell counts for wild type, cGasKO, or STINGKO dnMCAK expressing 4T1 cells. l) Tumour-free survival of KIF2C (CINlow) or dnMCAK (CINhigh) wild type, cGasKO, or STINGKO cells transplanted to immunocompetent Balb/c and followed for up to 22 days. Tumours were included in the survival curve if they reached a volume of 500 mm3 or larger. m) End mass of tumours harvested shown in Fig. 1f and Extended Data Fig. 3l. Error bars in (e–h, k–m) indicate the s.e.m, n=5 biological replicates (e), n= 6 biological replicates (f), n=3 biological replicates (g–h, K), n=8 biological replicates (m), significance was tested with a two-sided t-test.