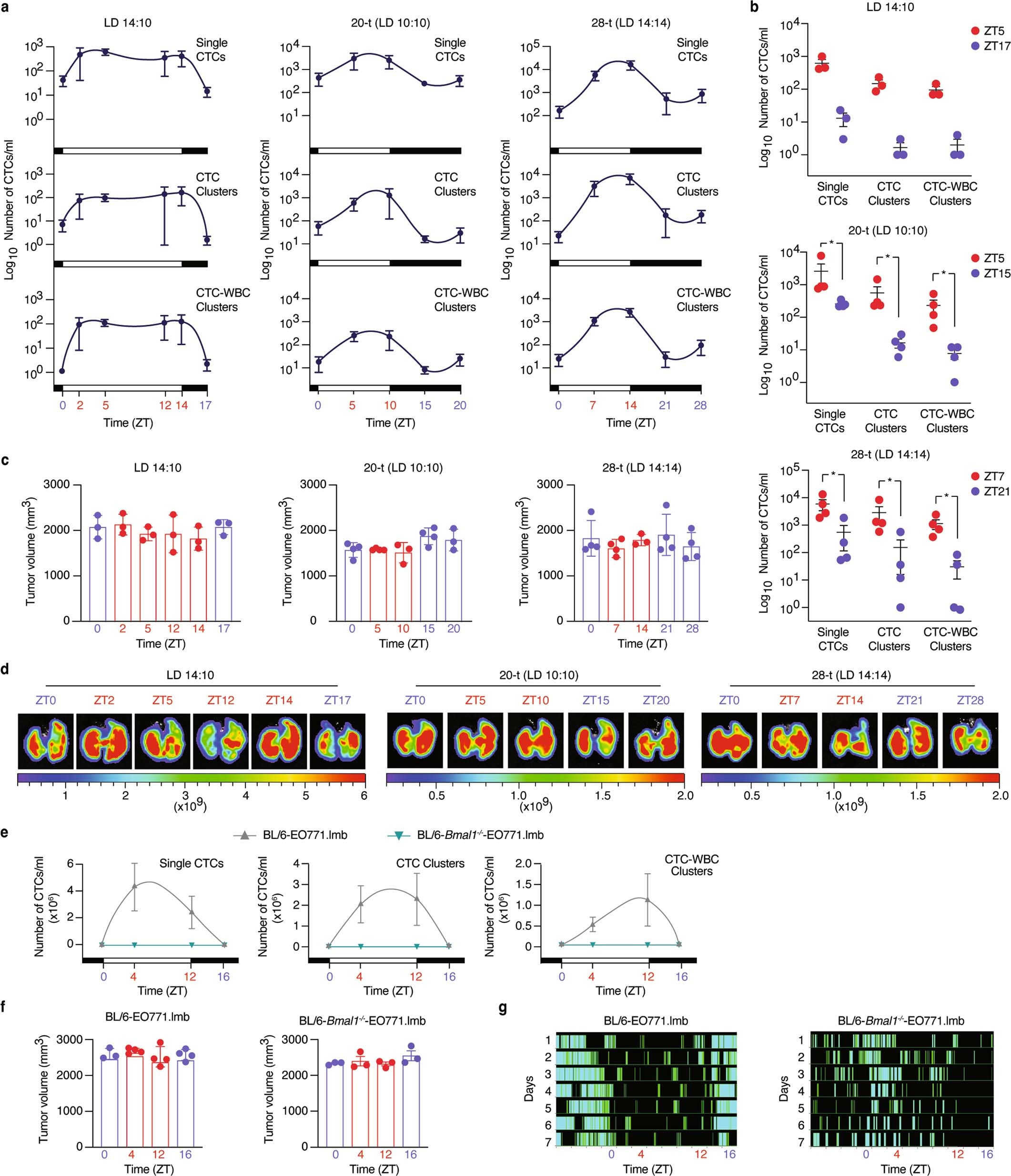
Extended Data Fig. 4: Light exposure impacts CTC intravasation.
From: The metastatic spread of breast cancer accelerates during sleep

a, Time kinetic analysis showing mean CTC counts (single CTCs, CTC clusters and CTC-WBC clusters) in the NSG-LM2 mice kept in altered light-dark (LD) cycles (LD 14:10, n = 3; LD 10:10, n = 4, except ZT10 and ZT20 where n = 3; LD 14:14, n = 4, except ZT14 where n = 3). b, Scatter dot plots showing the distribution of the number of single CTCs, CTC clusters and CTC-WBC clusters isolated from NSG-LM2 mice that were kept in altered light cycles (LD 14:10, n = 3; LD 10:10, n = 4; LD 14:14, n = 4; P = 0.0286 for all). * P < 0.05 by two-sided Mann-Whitney test. c, Plots showing the size of primary tumors dissected from NSG-LM2 mice shown in “a”. d, Representative bioluminescence images of lungs from NSG-LM2 mice shown in “a”. e, Graphs showing time kinetic analysis of CTC counts (single CTCs, CTC clusters and CTC-WBC clusters) in the BL/6-EO771.lmb (ZT4, ZT12, ZT16 n = 4; ZT0 n = 3) and BL/6-Bmal1−/−-EO771.lmb (n = 3) breast cancer mouse models collected via tumor draining vessel (TDV) over a 24-h time period. f, Plots showing the size of the primary tumors dissected from BL/6-EO771.lmb and BL/6-Bmal1−/−-EO771.lmb mice shown in Fig. 1d. g, Plotted actograms showing the running activity of the BL/6-EO771.lmb and BL/6-Bmal1−/−-EO771.lmb mice with dark and light areas representing low and high activity, respectively. For all panels, data are presented as mean ± s.e.m. n represents the number of biologically independent mice