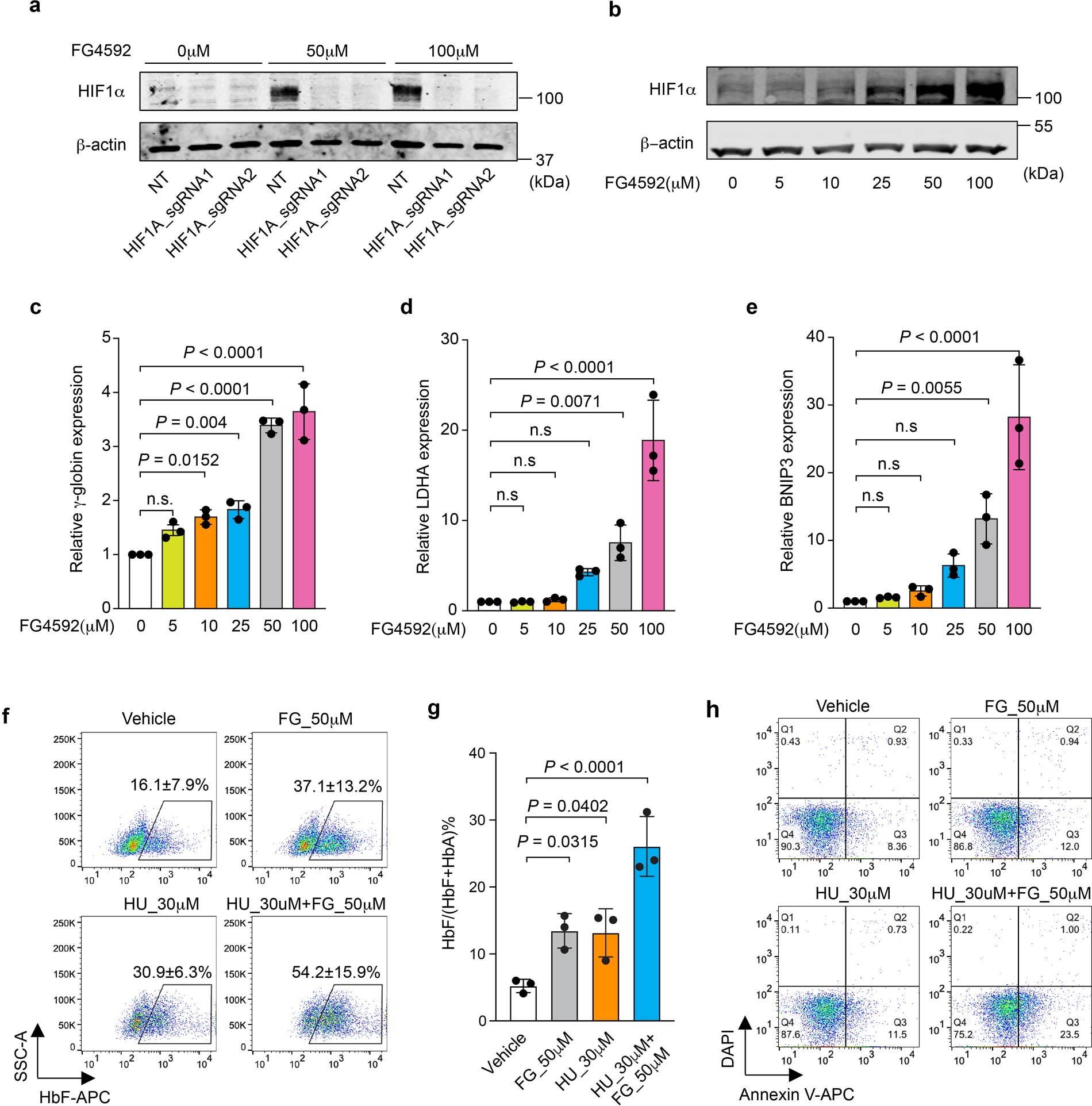
Extended Data Fig. 8: The proline hydroxylase inhibitor (PHI) FG4592 induces γ-globin and HbF in primary erythroblasts (linked to main Fig. 4).
From: Activation of γ-globin expression by hypoxia-inducible factor 1α

Normal adult donor CD34+ HSPCs were transfected with Cas9 RNP targeting HIF1A with two different sgRNAs or nontargeting (NT) sgRNA, after which erythroid differentiation was induced. FG4592 was added on culture day 5. a, Results of Western blot analysis performed on culture day 10, showing the effects of drug and HIF1A RNP on HIF1α protein expression. b, Results of Western blot analysis performed on day 10 showing HIF1α induction with increasing doses of FG4592. c–e, Relative expression of the HIF1α targets γ-globin, LDHA, and BNIP3 as measured by RT-qPCR and normalized to AHSP mRNA at different doses of FG4592. (Data are presented as mean ± s.d., n = 3 independent experiments with different donor CD34+ cells). Multiplicity adjusted P-values by ordinary one-way ANOVA with Dunnett’s MCT against 0 μM. f, CD34+ cells from healthy adult donors were induced to undergo erythroid differentiation. FG4592 and/or hydroxyurea (HU) were added at culture day 5. The %F-cells was determined at day 15. The mean ± s.d. from three biological replicate experiments using CD34+ cells from different normal donors are shown. g, %HbF in cells described for panel f, determined at day 15 of differentiation. Data are presented as mean ± s.d., n = 3 independent experiments with different donor CD34+ cells). Multiplicity adjusted P-values were determined by ordinary one-way ANOVA with Dunnett’s MCT against vehicle. h, Peripheral blood mononuclear cells from a donor with SCD were induced to undergo erythroid differentiation, and the indicated drugs were added at day 5. Annexin V staining for apoptosis was performed on day 15. Representative results are shown here, experiments were repeated independently 3 times with similar results.