Extended Data Fig. 3: AP-1 associates with STING after activation.
From: Clathrin-associated AP-1 controls termination of STING signalling

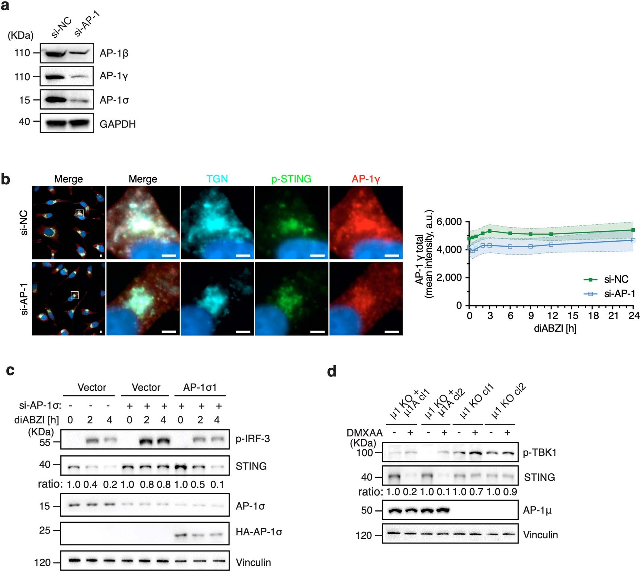
a, Western blot showing levels of AP-1 subunits after NC siRNA or AP-1 siRNA transfection in HeLa cells. GAPDH was used as a loading control. b, Bright-field fluorescent microscopy images and corresponding quantification of AP-1γ signal intensity of HeLaSTING cells treated for 3 days with NC siRNA or AP-1 siRNA and then stimulated for 0, 0.5, 1, 2, 3, 6, 9, 12 or 24 h with 1 µM diABZI. Cells were then fixed and stained for TGN46 (trans-Golgi), pSTING and AP-1γ as well as with Hoechst dye (nuclei, in dark blue). Images shown here are from the 2-h time points. Mean ± s.e.m. of n = 3 independent experiments with 99 fields of view each per condition. Scale bars, 4 µm. c, HeLa cGAS KO cells incubated with NC siRNA or siRNAs targeting AP-1σ1 and AP-1 σ3 for 3 days and reconstituted with empty vector or HA-tagged AP-1σ1 were treated with 2.5 µM diABZI for 0, 2, 4 h before analysis by western blot. Vinculin was used as a loading control. d, AP-1 μ1 KO MEFs and μ1 KO + μ1A MEFs were treated with 0.5 μg/mL DMXAA for 2 h and analysed by western blot. Vinculin was used as a loading control. One representative of three (b,c) or at least two (a,c,d) independent experiments is shown. Ratios of target proteins versus loading control normalized to the untreated sample of each condition (c,d).