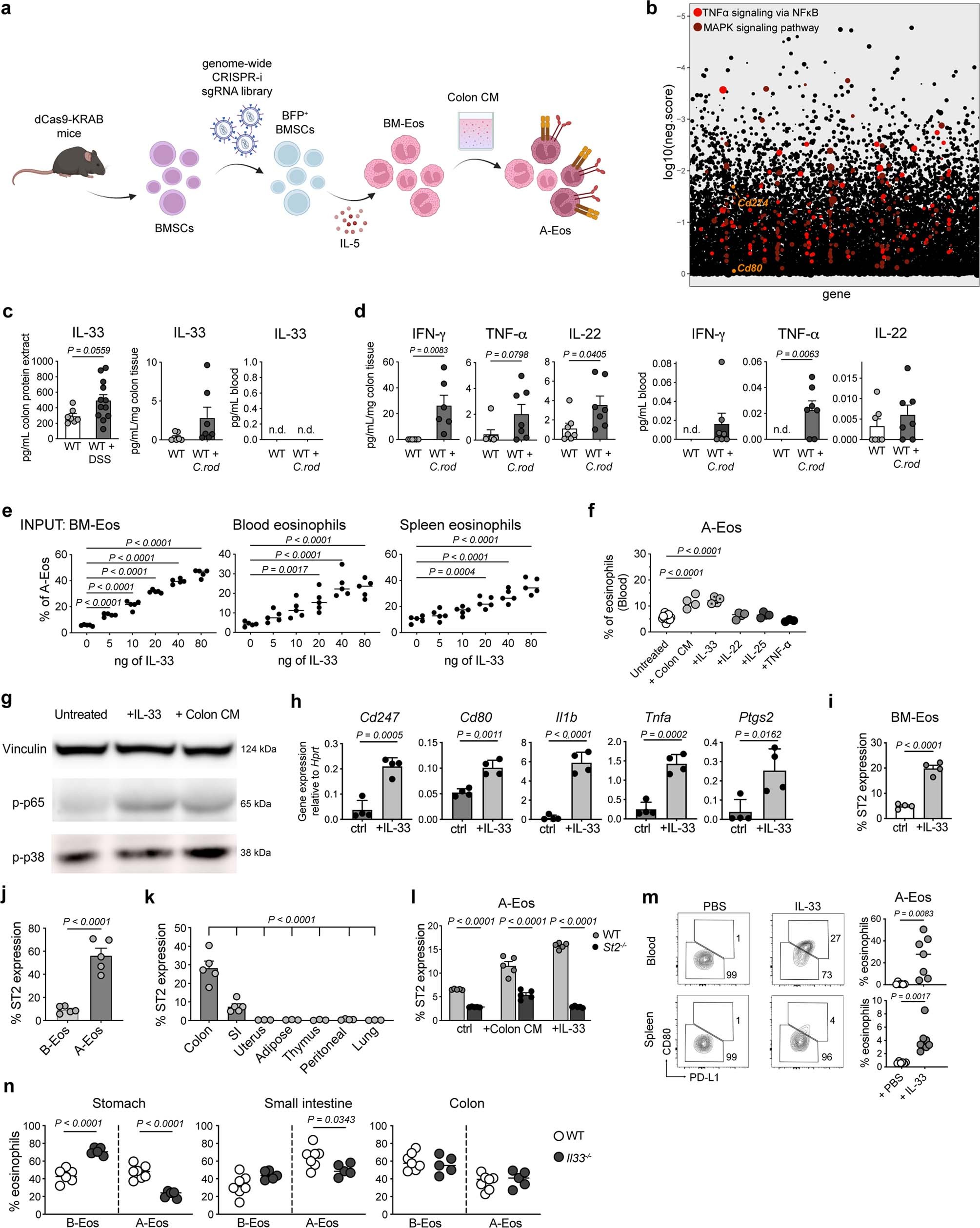
Extended Data Fig. 7: IL-33 induces the accumulation of A-Eos in the colon.
From: Active eosinophils regulate host defence and immune responses in colitis

a, Experimental workflow of the CRISPR inhibition screen. b, Log10 negative score per gene, as calculated by MAGeCK. Cd80 and Cd274 evidenced in orange. Genes involved in TNF signalling pathway via NF-κB in red, and MAPK signalling pathway in darkred. c, IL-33 concentrations measured by ELISA in colon of DSS-treated mice (n = 12, B6J) and colon and blood of C. rodentium-infected mice (n = 7, B6J), compared to untreated controls (n = 7, B6J). Medians are shown. Two-tailed unpaired Student’s t-test. d, IFNγ, TNF and IL-22 concentrations measured by LEGENDplex in colon (left) and blood (right) of C. rodentium-infected mice (n = 7, B6J), compared to untreated controls (n = 7, B6J). Medians are shown. Two-tailed unpaired Student’s t-test. e, A-Eos (PD-L1+CD80+) frequencies upon conditioning of BM-Eos with colon CM, IL-22, IL-25, TNF or IL-33 (n = 4, B6J). Data are pooled from two independent experiments. Medians are shown. One-way ANOVA. f, A-Eos frequencies after conditioning with increasing doses of IL-33. Input: BM-derived (n = 5, B6J), blood (n = 5, Il5-tg) and splenic (n = 5, Il5-tg) eosinophils. Medians are shown. One-way ANOVA. g, Western blot of phospho-p38 and phospho-p65 upon conditioning of BM-Eos with colon CM or IL-33 (n = 3, B6J). h, Gene expression normalized to Hprt measured by qRT–PCR of BM-Eos upon conditioning with IL-33 (n = 4, B6J). Data represents mean ± SEM. Two-tailed unpaired Student’s t-test. i, ST2 expression in BM-Eos upon IL-33 treatment (n = 4, B6J). Data represents mean ± SEM. Two-tailed unpaired Student’s t-test. j, ST2 expression in colonic A-Eos and B-Eos (n = 5, B6J). Data represents mean ± SEM. Two-tailed unpaired Student’s t-test. k, ST2 expression across organs (n = 5, B6J). Data represents mean ± SEM. One-way ANOVA. l, A-Eos frequencies upon conditioning of WT (n = 2, pooled B6J) or ST2−/− (n = 2, pooled) BM-Eos with colon CM or IL-33. Technical replicates and mean ± SEM are shown. Two-tailed unpaired Student’s t-test. m, Left: Representative FACS plots of A-Eos (PD-L1+ CD80+) and PD-L1−CD80− eosinophils in the blood (top) and spleen (bottom). Numbers indicate % of eosinophils. Right: A-Eos frequencies in mice treated with IL-33 (n = 6-7, B6J). Medians are shown. Two-tailed unpaired Student’s t-test. n, A-Eos and B-Eos frequencies in the indicated organs of B6J (n = 7) and Il33−/− (n = 5) mice at steady state. Medians are shown. Two-tailed unpaired Student’s t-test.