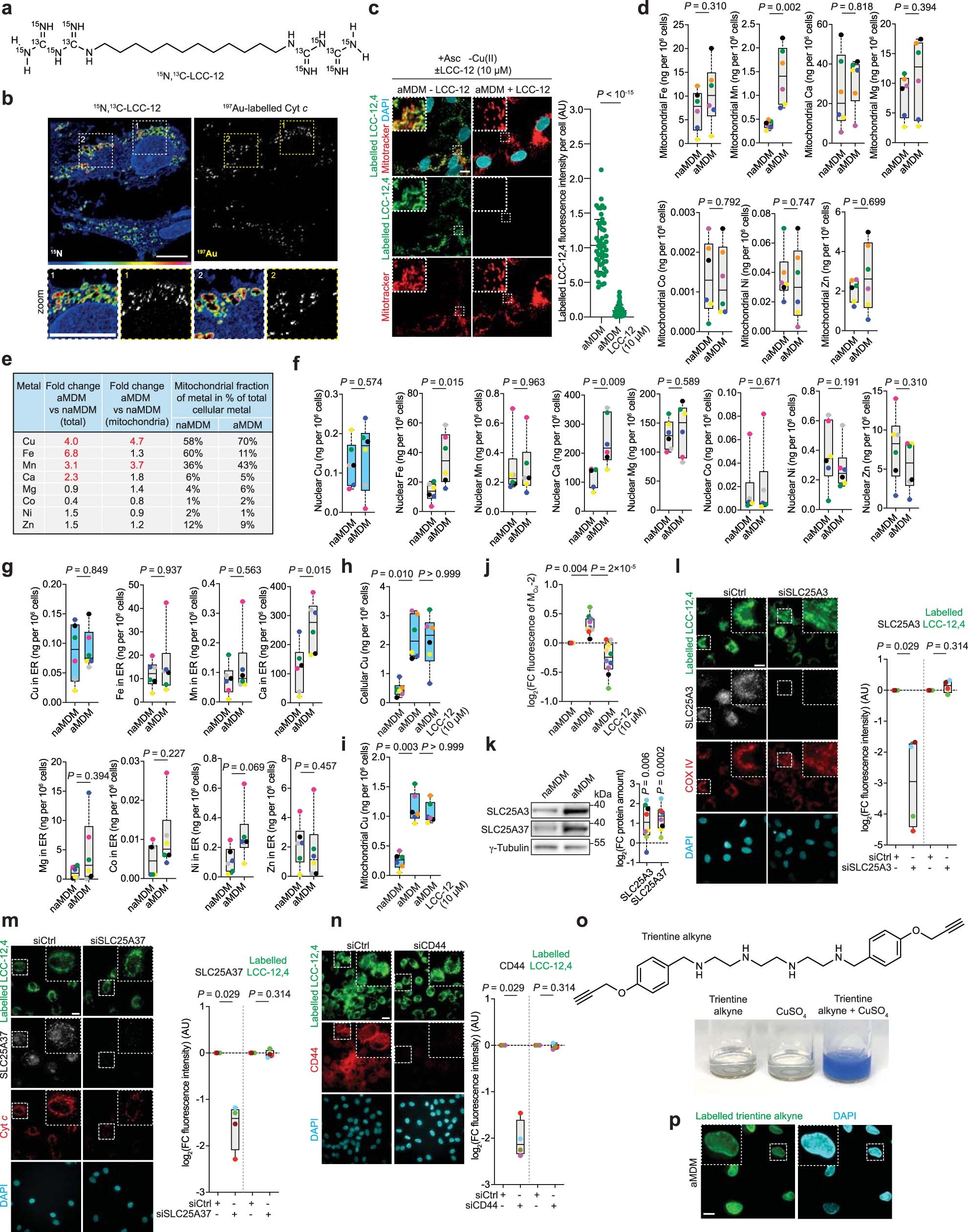
Extended Data Fig. 5: Detection of a druggable pool of copper(II) in mitochondria.
From: A druggable copper-signalling pathway that drives inflammation

a, Molecular structure of isotopologue 15N,13C-LCC-12. b, NanoSIMS image of 15N and 197Au in aMDM of n = 1 donor. c, Fluorescence microscopy of labelled LCC-12,4 (100 nM) in aMDM. In-cell-labelling performed without added copper(II) and using LCC-12 as a competitor. Representative of n = 3 donors. d, ICP-MS of metals in mitochondria of MDM (n = 6 donors). e, Comparison of the total metal contents in cells and mitochondria of MDM determined by ICP-MS. f, ICP-MS of metals in nuclei isolated from MDM (n = 6 donors). g, ICP-MS of metals in endoplasmic reticula (ER) isolated from MDM (n = 6 donors). h, ICP-MS of the total cellular copper content in MDM treated with LCC-12 (n = 6 donors). i, ICP-MS of mitochondrial copper in MDM treated with LCC-12 (n = 6 donors). j, Flow cytometry of a mitochondrial copper(II) probe (MCu-2) in MDM treated with LCC-12 (n = 10 donors). k, Western blots of mitochondrial metal transporters in MDM (n = 8 donors). l, m, n, Fluorescence microscopy of labelled LCC-12,4 in aMDM under gene knockdown conditions as indicated (n = 4 donors). o, Top: Structure of trientine alkyne. Bottom: Picture of aq. solutions of trientine alkyne, CuSO4 and corresponding mixtures. p, Fluorescence microscopy of labelled trientine alkyne in aMDM. For b, c, l – n, p scale bar, 10 μm. For c two-sided unpaired t-test, representative of n = 3 donors. Mean ± s.d. For d, f, g, k, l – n, two-sided Mann-Whitney test. For h – j Kruskal-Wallis test with Dunn’s post-test. Box plots: boxes represent interquartile range and median, and whiskers indicate the minimum and maximum values. Each colored dot represents a distinct donor for a given panel.