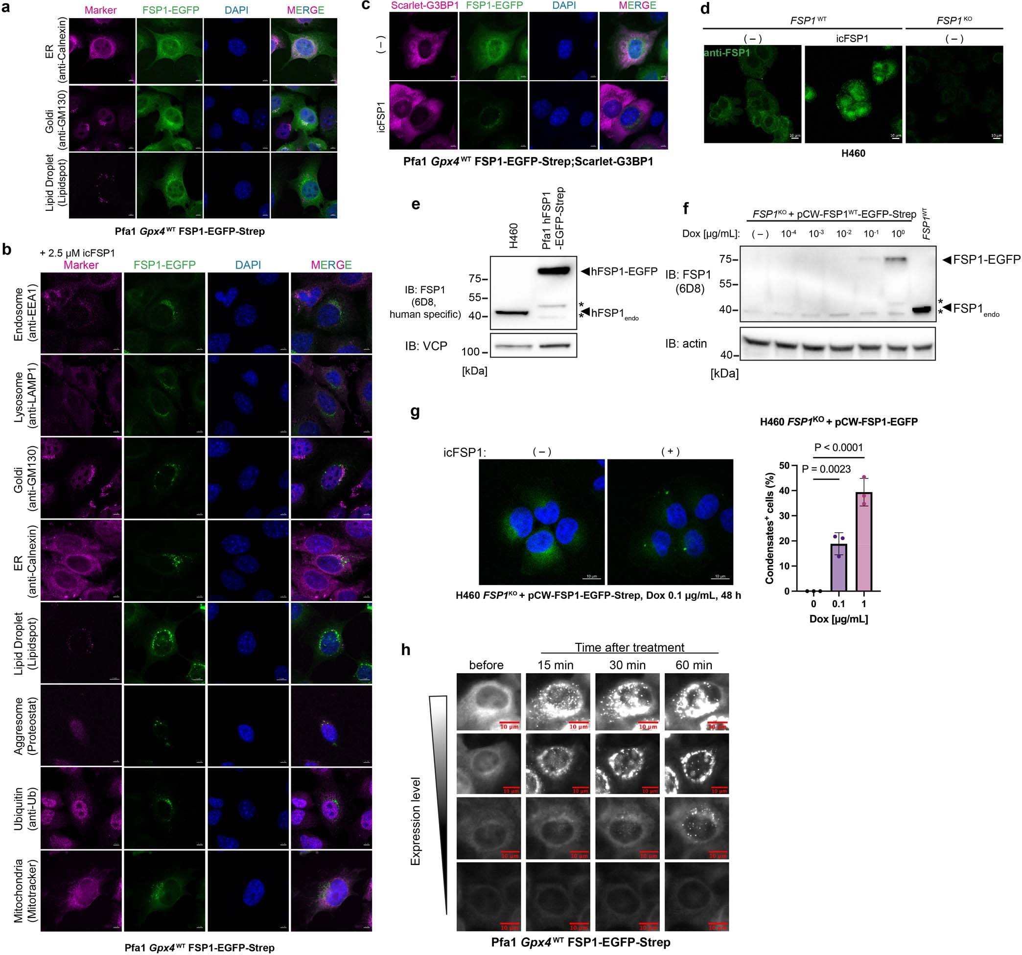
Extended Data Fig. 4: FSP1 condensates do not localize to specific organelles.

a. Confocal microscopy images of FSP1-EGFP-Strep overexpressing Pfa1 Gpx4 WT cells stained with ER, Golgi and lipid droplet markers under normal cell culture conditions. Scale bars, 5 μm. b. Confocal microscopy images of FSP1-EGFP-Strep overexpressing Pfa1 Gpx4 WT cells after treating with 2.5 µM icFSP1 for 120 min, and subsequently stained with markers for endosome, lysosome, Golgi, ER, lipid droplet, aggresome, ubiquitin and mitochondria. Scale bars, 5 μm. c. Confocal microscopy images of FSP1-EGFP-Strep and Scarlet-G3BP1 overexpressing Pfa1 Gpx4 WT cells after treating with 0 or 2.5 µM icFSP1 for 120 min. Scale bars, 5 μm. d. Confocal microscopy images of H460 or FSP1 KO H460 cells after treating with 0 or 10 µM icFSP1 for 4 h, following stained with FSP1 antibody (14D7). Scale bars, 10 μm. Representative results are from one out of 2 independent experiments (a-d). e. Representative immunoblot analysis of FSP1 and VCP expression in H460 cells and hFSP1-EGFP-Strep overexpressing Pfa1 Gpx4 WT cells from one out of 2 independent experiments. f. Representative immunoblot analysis of FSP1 and actin expression in H460 WT cells and Dox-inducible hFSP1-EGFP-Strep overexpressing H460 FSP1 KO cells after treating with Dox for 48 h from one out of 2 independent experiments. g. Confocal microscopy images of Dox-inducible hFSP1-EGFP-Strep overexpressing H460 FSP1 KO cells after treating with 0.1 µg/mL for 48 h and followed by treating with 0 or 10 µM icFSP1 for 4 h. Scale bars, 10 μm. Representative images from one out of 2 independent experiments (left) and quantified values (right, mean ± SD of 3 independent fields) are shown. One-way ANOVA followed by Dunnett’s multiple comparison test. h. Time-lapse fluorescent images of Pfa1 Gpx4 WT cells stably overexpressing hFSP1-EGFP-Strep before and immediately after treatment with 2.5 µM icFSP1 for the indicated time. Scale bars, 10 μm. Representative results are from one out of 2 independent experiments.