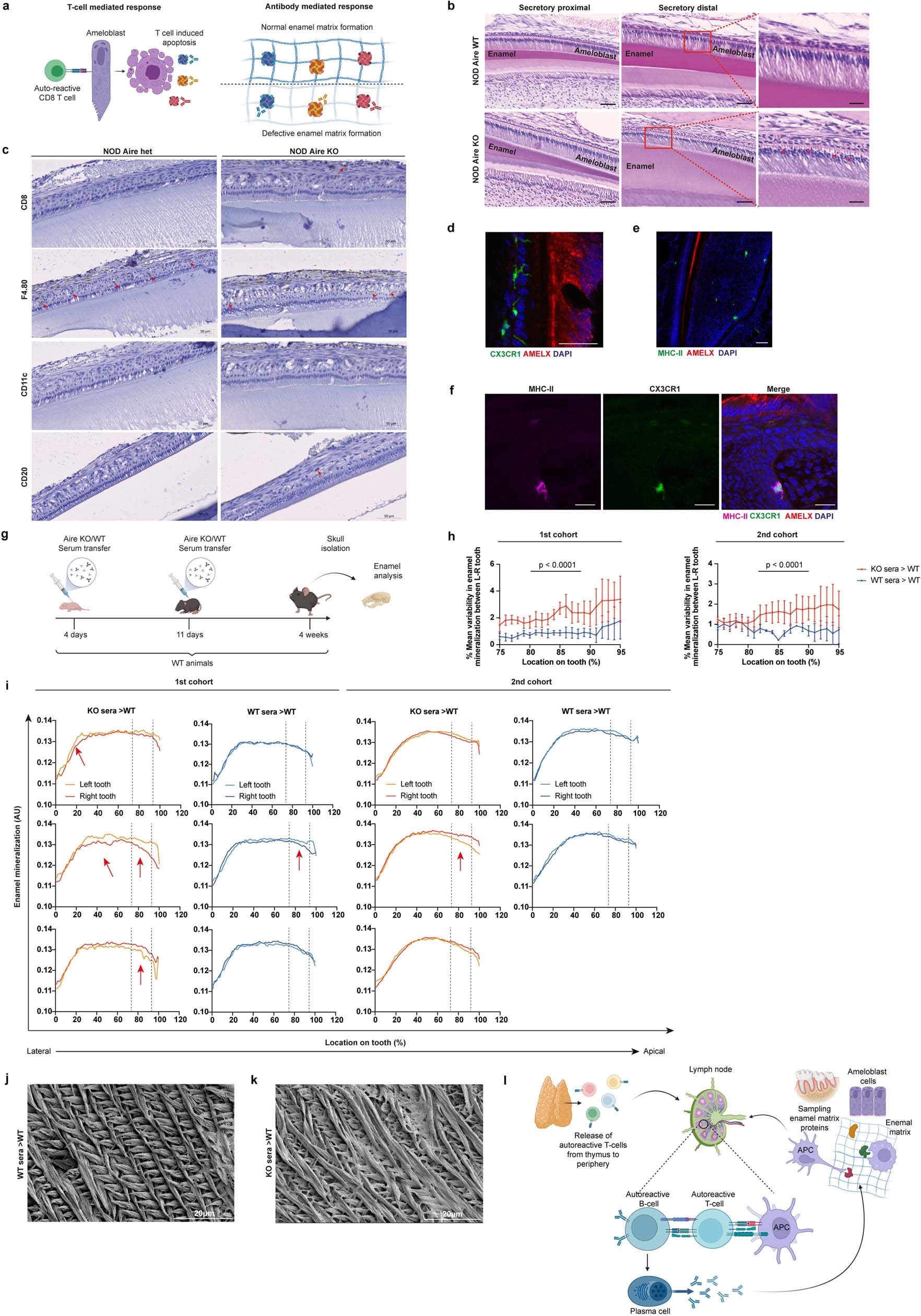
Extended Data Fig. 5: Defective enamel formation in AIRE-deficient mice is driven by autoantibodies.
From: Autoimmune amelogenesis imperfecta in patients with APS-1 and coeliac disease

a, Illustration of two alternative autoreactive mechanisms responsible for defective enamel matrix formation. The response mediated by self-reactive T-cells (left) would result in the destruction of the ameloblast layer (in an analogous manner to the autoimmune destruction of β-cells in type 1 diabetes or retinal degeneration in Aire−/− mice80), while the autoantibody-mediated response (right) would interfere with enamel matrix formation (e.g. through blocking functional epitopes on enamel matrix proteins), rather than cause destruction of ameloblasts. Created with BioRender.com. b, Representative H&E staining images of jaws isolated from NOD Aire−/− and WT mice showing enamel matrix and ameloblast cells in secretory stage at a proximal and distal orientation. Red arrows indicate immune cell infiltrates. Left and middle images scale bar 50 µm, right images scale bar 20 µm. c, Representative immunohistochemical analysis images of CD8+ T-cells, F4.80+ macrophages, CD11c+ Dendritic cells and CD20+ B-cells within the ameloblast layer, in teeth sections from NOD Aire−/− and Aire+/− mice. Scale bar 50 µm. d, Representative immunofluorescence microscopy image of CX3CR1-GFP mouse jaw section stained with amelogenin-specific antibodies (red) and DAPI (blue). Scale bar 20 µm. e, Representative immunofluorescence microscopy image of NOD Aire−/− mouse jaw section stained with MHC-II (RT1B)-specific antibodies (green), amelogenin-specific antibodies (red) and DAPI (blue). Scale bar 100 µm. f, Representative immunofluorescence microscopy images of CX3CR1-GFP mouse jaw section stained with amelogenin-specific antibodies (red), MHC-II (I-A/I-E)-specific antibodies (purple) and DAPI (blue). Scale bar 20 µm. g, Illustration of the serum transfer experimental design shown in h–k. Created with BioRender.com. h, Percentage of mean variability in enamel mineralization at the indicated apical part between left and right incisors of WT mice transferred with sera isolated either from aged NOD Aire−/− (red) (n = 6) or WT (blue) (n = 5) mice in two independent experimental cohorts. i, Presentation of enamel mineralization (a.u.) along the relative (%) incisor location (from lateral to apical part) in WT mice transferred with sera isolated either from aged NOD Aire−/− (n = 6) (red and orange) or WT (n = 5) (dark and light blue) mice. Vertical dotted lines indicate a region corresponding to the apical part (that is the 75th−95th percentile of the incisor’s length). Red arrows highlight areas with high variability between left and right teeth. Presentation of two independent transfer experiments. j,k, Representative SEM images showing ultrastructure of enamel matrix of teeth isolated from WT mice that were injected with sera isolated from NOD WT (j) or NOD Aire−/− (k) mice, as illustrated in g. Scale bar 20 µm. l, Illustration of the proposed model for ameloblast-specific autoantibody production in patients with APS-1: as a result of AIRE deficiency and break of central tolerance, autoreactive T-cells escape from the thymus to the periphery (1). The cells circulate the body and enter lymph nodes (2). In parallel, during the formation of the enamel matrix, antigen presenting cells (APC) sample enamel antigens (3) and migrate to the closest draining lymph node (4), where they present the enamel self-antigens to autoreactive CD4+ T-cells that later activate autoreactive B-cells to produce antibodies against enamel self-antigens (5). The plasma cells and/or autoantibodies are then transferred via the bloodstream to the dental area, where the enamel matrix is developing, bind the enamel matrix proteins and thereby interfere with their capacity to aid in hydroxyapatite mineralization and deposition and enamel formation (6). Illustration was created with BioRender.com. n refers to the number of biologically independent mice per genotype or group. Data are representative of at least two independent experiments. Data shown as mean ± s.e.m. Data were analysed using two-sided Mann Whitney test (h).