Extended Data Fig. 1: DNA damage and genome instability in mammary tumors induced in Rosa26LSL-Myc/LSL-Cas9;Trp53FL/FL mice by in vivo transduction with Cre-sgControl or Cre-sgMre11.
From: MRE11 liberates cGAS from nucleosome sequestration during tumorigenesis

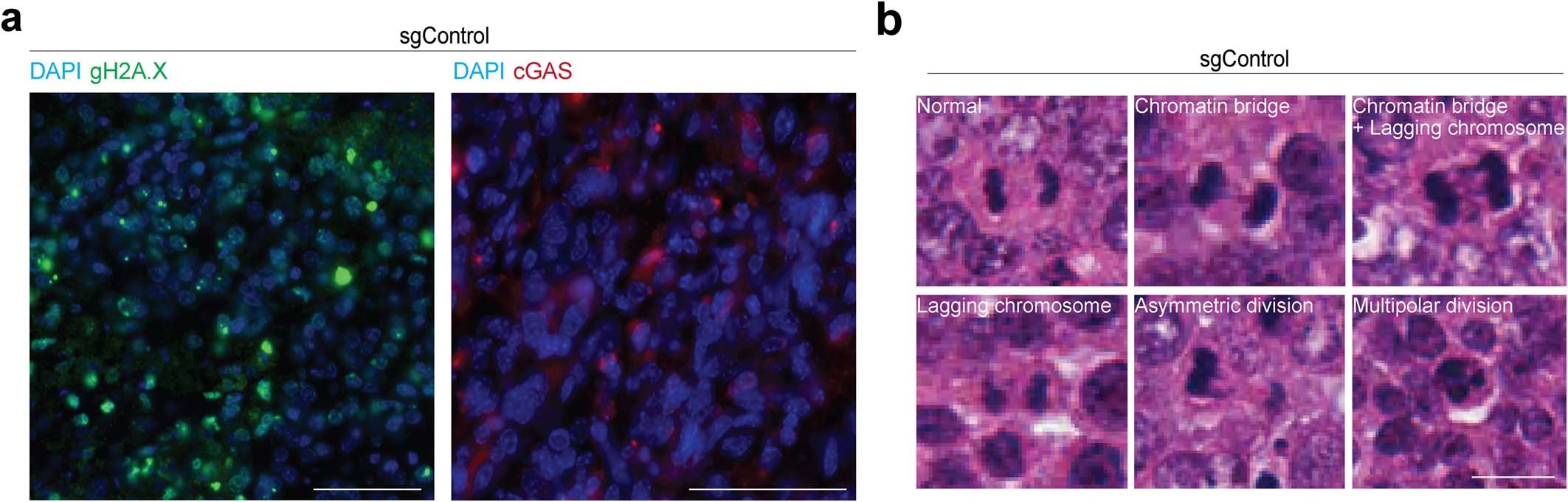
a, Immunofluorescence imaging of mammary tumors induced by mammary intraductal injection of lentivirus expressing Cre recombinase and control sgRNA (targeting a non-coding region on Chromosome 2) for gH2A.X or cGAS showing abundant DNA damage (gH2A.X foci) and cytoplasmic cGAS localization, demonstrating consistent results across at least three independent repetitions. Scale bar, 50 µm. b, Mitotic aberration figures were morphologically analyzed in H&E-stained sections from mouse mammary tumors induced by Cre and sgControl (top panel) or sgMre11 (bottom panel). sgControl-induced mouse tumor tissues have 56.5% normal, 17.4% chromatin bridges, 13% lagging chromosomes, 13% multipolar divisions, and 0% asymmetric divisions in mitotic cells. In contrast, sgMre11-induced tumors displayed 56% normal, 30% chromatin bridges, 1.2% lagging chromosomes, 1.2% multipolar division and 12% asymmetric division in mitotic cells, revealing consistent findings across at least three independent replicates. Scale bar, 20 µm.