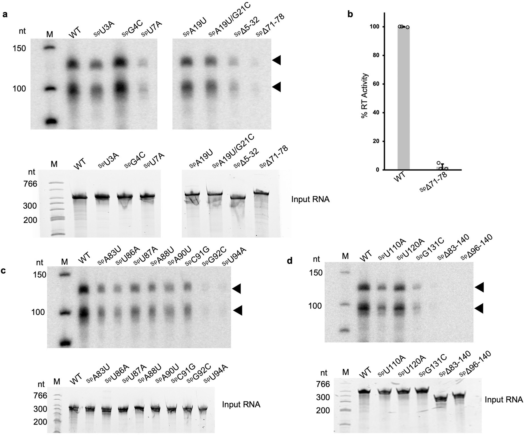
Extended Data Fig. 4: Mutations in DGR RNA.
From: RNA control of reverse transcription in a diversity-generating retroelement

a. Top, cDNAs synthesized by bRT-Avd from wild-type or mutated DGR RNAs. Products were treated with RNase and resolved by 8% denaturing polyacrylamide gel electrophoresis (PAGE). Lane M corresponds to radiolabeled, single-stranded DNA molecular mass markers, denoted by nucleotide (nt) length. Arrowheads correspond to cDNAs. Bottom, input RNAs for cDNA synthesis resolved by 6% denaturing PAGE. Lane M corresponds to DNA molecular mass markers, denoted by nt length. A representative gel from three independent replicates shown. An irrelevant lane is blanked out from the gels. For gel source data, see Supplementary Fig. 1g. b. cPRT activity of mutant DGR RNASp(Δ71-78) relative to wild-type DGR RNA. Data are from experiments that were repeated three independent times, and means and standard deviations shown. c and d. cDNAs synthesized by bRT-Avd from wild-type or DGR RNAs mutated in the Thumb ring (c) or bRT-binding RNA (d). Products were treated with RNase and resolved by 8% denaturing polyacrylamide gel electrophoresis (PAGE). Lane M corresponds to radiolabeled, single-stranded DNA molecular mass markers, denoted by nt length. Arrowheads correspond to cDNAs. Bottom of each panel shows input RNAs for cDNA synthesis resolved by 6% denaturing PAGE. Lane M corresponds to DNA molecular mass markers, denoted by nt length. A representative gel from three independent replicates shown. For gel source data for panels c and d, see Supplementary Fig. 1h,i, respectively.