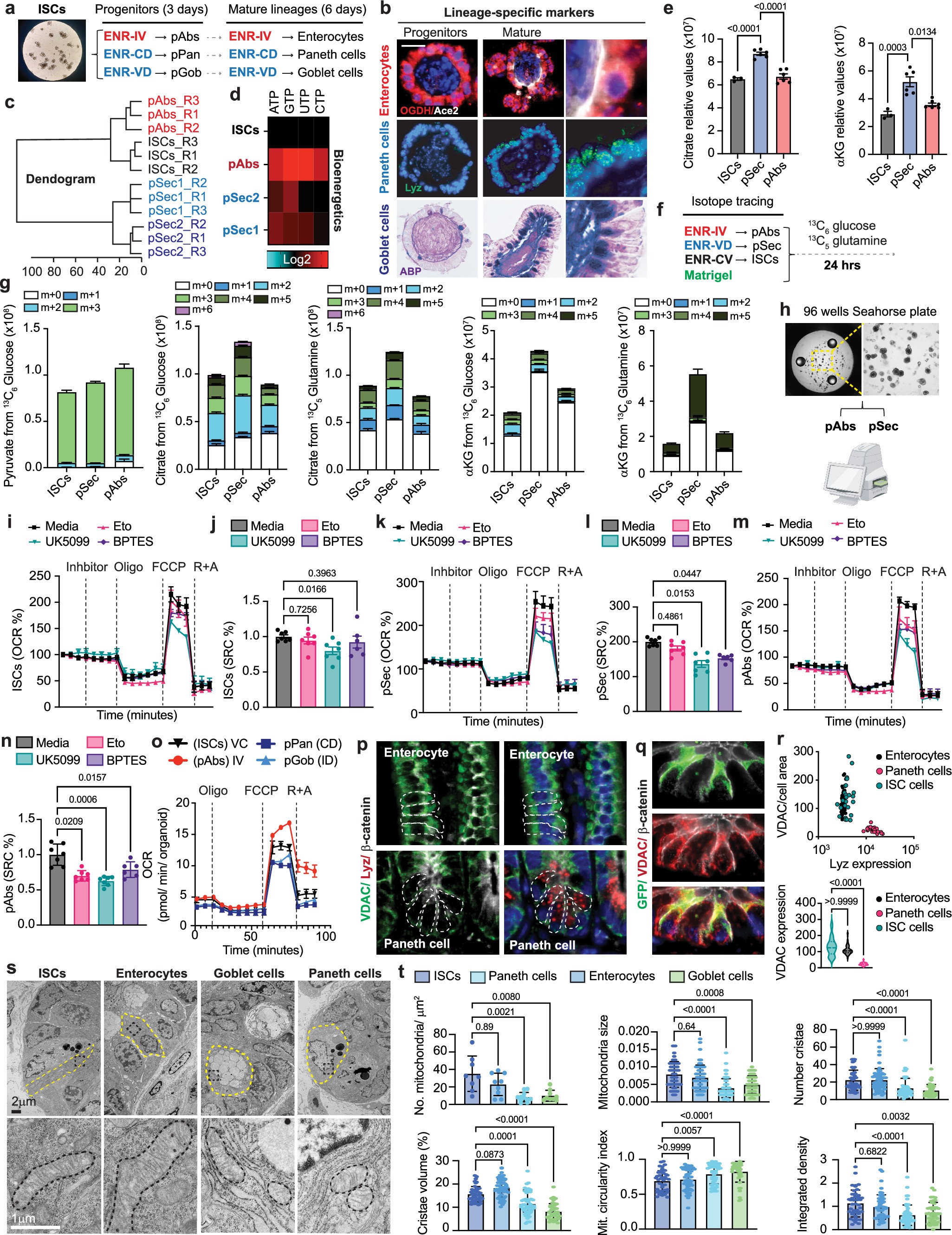
Extended Data Fig. 2: Mitochondrial activity and TCA-cycle characterization in intestinal lineages.
From: Metabolic adaptations direct cell fate during tissue regeneration

a, Strategy for metabolic experiments using various ENR media to culture and differentiate intestinal progenitor organoids. b, Immunofluorescence and ABP staining in progenitor-enriched and mature organoids: ACE2 marks enterocytes; Lyz marks Paneth cells; ABP marks goblet cells. c, Hierarchical clustering dendrogram of LC–MS metabolites from intestinal organoids. d, Heat map of bioenergetic metabolites in intestinal progenitors relative to ISCs. e, LC–MS analysis of steady-state αKG and citrate levels in organoid-derived intestinal lineages. Each dot represents a replicate, generated by pooling crypts from five mice and culturing in a separate well. Data are representative of two independent experiments (n = 10 mice). f, Isotopologue tracing in organoids. g, LC–MS analysis of αKG, citrate and pyruvate labelling from 13C6-glucose or 13C5-glutamine. Levels are shown as peak area x fractional labelling (n = 3/condition). Results are representative of two independent experiments (n = 10 mice). h, Micrograph of organoids in a Seahorse plate for MitoStress and Substrate oxidation assays. Created in BioRender. Chaves-Perez, A. (2025) https://BioRender.com/0m4ci27. i–n, Oxygen consumption rate (OCR) (i,k,m,n) and spare respiratory capacity (SRC) (j,l) from substrate oxidation assays in organoid-derived intestinal lineages (n = 5). Inhibitors: Etomoxir (Eto; fatty acid oxidation), UK5099 (mitochondrial pyruvate carrier), BPTES (glutamine oxidation). o, OCR from MitoStress analysis in progenitor lineages. For i–o, data represent two independent experiments (n ≥ 3 mice/lineage). p,q, Immunofluorescence in intestinal tissues from C57Bl/6 (p) and Lgr5-EGFP (q) mice, showing lysozyme (Paneth), VDAC (mitochondria), β-catenin (membrane), and GFP (ISCs). Dashed lines delineate cells of a specific lineage. r, Quantification of VDAC intensity in ISCs, enterocytes and Paneth cells. Each dot represents an independent crypt (n = 4 mice). s, Electron microscopy images of mitochondria in various intestinal lineages from C57Bl/6 mice. Dashed lines delineate cells of a specific lineage. t, Quantification of multiple mitochondria parameters from s. Each dot represents a cell for the specified lineage. This figure is adapted from our published patent (WO2024229094A1)50. Statistical analysis: data are presented as mean ± s.e.m. Statistical significance was determined by one-way ANOVA followed by Tukey’s test in e,j,l,n,r (bottom graph) and t. OCRs were analysed using a two-way ANOVA followed by Tukey’s HSD test. Asterisks indicate statistical significance (*P < 0.05, **P < 0.01, ***P < 0.001). Abbreviations: pAbs=absorptive progenitors; C = CHIR2099; D = DAPT; ENR = EGF/Noggin/R-spondin; I = IWP2; pSec1=goblet progenitors; pSec2=Paneth progenitors; R + A=Rotenone + Antimycin A; V=Valproic acid.