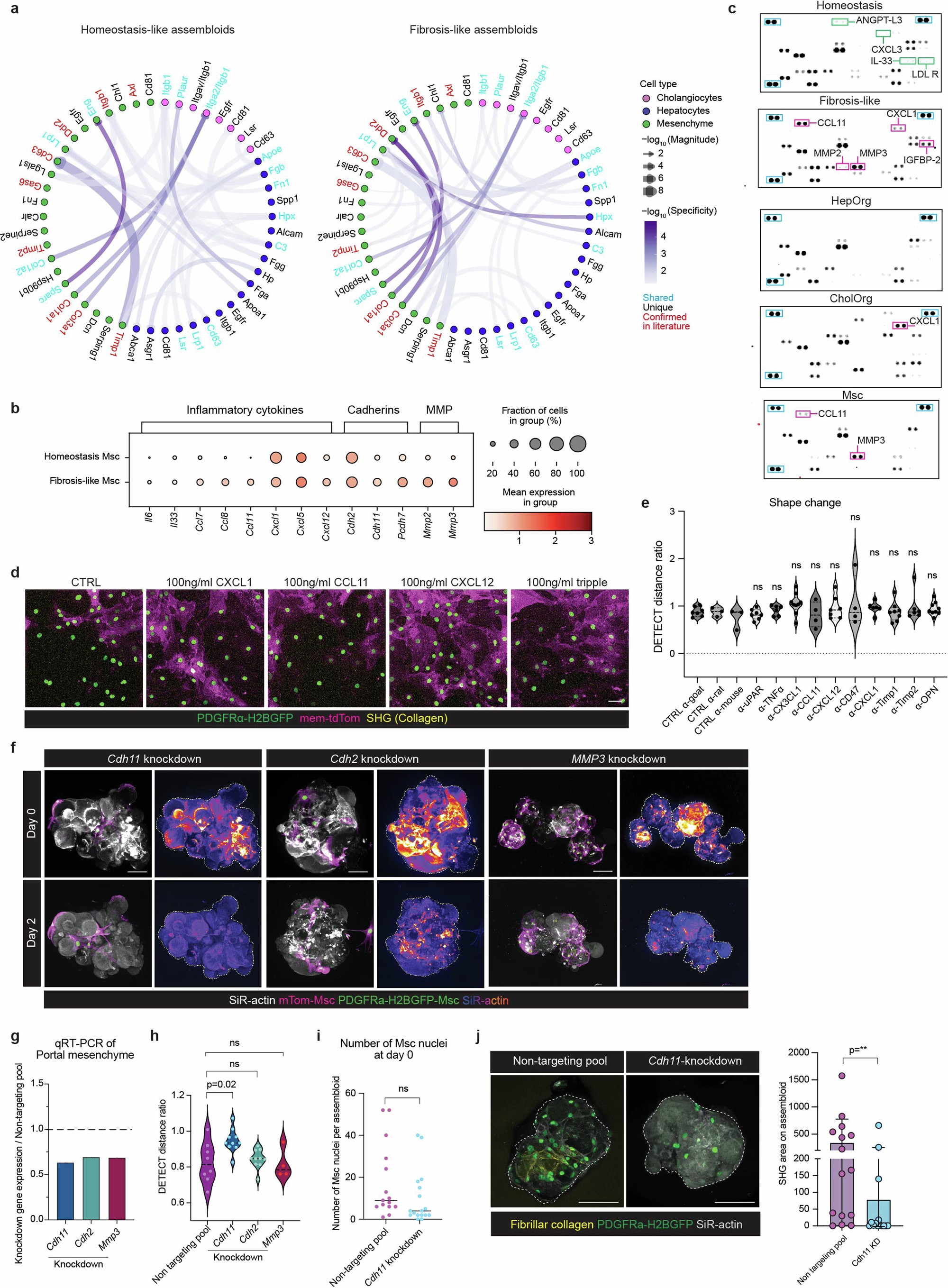
Extended Data Fig. 12: Assembloids as a tool to investigate cell-autonomous mechanisms in fibrosis.
From: Mouse liver assembloids model periportal architecture and biliary fibrosis

a. Circular plots representing the inferred top 30 cell-cell interaction in fibrosis-like and homeostasis-like assembloids. b. Dot plot of genes upregulated in fibrotic-like vs homeostatic mesenchyme. c. Cytokine array of supernatant from homeostasis, and fibrotic-like assembloid culture and from hepatocyte (HepOrg) and cholangiocyte (CholOrg) organoids and portal mesenchyme, grown individually in MM media. n = 2 independent experiments. Blue boxes, hot spots showing positive control and orientation markers; magenta boxes, cytokines that are only expressed in fibrotic-like assembloids; note CXCL1 expression in cholangiocytes, while MMP3 and CCL11 are expressed by the mesenchyme. d. Immunofluorescence images for collagen deposition (SHG) in naïve mesenchyme following exposure to inflammatory cytokines for 7 days. Note that no collagen is detected. Triple denotes a combination of 100 ng/ml of each of CXCL1, CCL11 and CXCL12. Representative images of n = 3 biological replicates. Scale bar, 50 µm; zoom-in,50 µm. e. DETECT analysis of assembloids treated with blocking antibodies against specified proteins, or matched-species control; violin plot shows DETECT distance ratios; Mann-Whitney test. Dot, individual organoids from n = 3 biological replicates. f. Still images from a live imaging analysis of fibrotic-like assembloids containing Msc (nuc-GFP, green, and membrane-tdTomato, magenta) transfected with siRNA against specified genes prior to assembly. Representative images from n = 2 independent biological replicates at day of seeding (top panel) and day 2 of culture (bottom panel). SiR-actin (membrane, grey). Fire LUT images (right panels) show examples of assembloid border segmentation based on maximum intensity projection images. Scale bar, 50 µm. g. Gene knock-down efficiency; Graph represent normalized expression of the genes in the siRNA treatment relative to the non-targeting control (dotted line). h. Violin plots showing median and quartiles of the DETECT distance ratio (d1/d0) for non-targeting pool, Cdh11, Cdh2 and Mmp3 siRNA. Dots represent values of the DETECT distance ratio of individual assembloids from n = 2 biological replicates. Kruskall-Wallis test, followed by Dunn’s multiple comparisons test. i. Graph represents median from the total number of Msc cells (segmented as GFP nuclei) per assembloid at day0 (assembloid seeding). n = 2 independent experiments. Non-targeting pool, n = 15; Cdh11-KD, n = 17. (Mann-Whitney two tailed test, ns, not significant, p = 0,0669). j. Images show the entire assembloid presented as detail in Fig. 5d showing fibrillar collagen deposition as analysed by SHG (second harmonic generation microscopy analysis, yellow) in control (left) and Cdh11-KD Msc assembloids (right). SiR-actin (membrane, grey) and Msc nuclei (green). Right, quantification of SHG; Graph represents the area ± S.D. of SHG-positive signal over the area of whole assembloid, for the non-targeting pool control and the Cdh11-KD group at day3 (assembloid seeding). Non-targeting pool, n = 15; Cdh11-KD, n = 14. Mann-Whitney two tailed test, p = 0.0052. Scale bar, 100 µm.