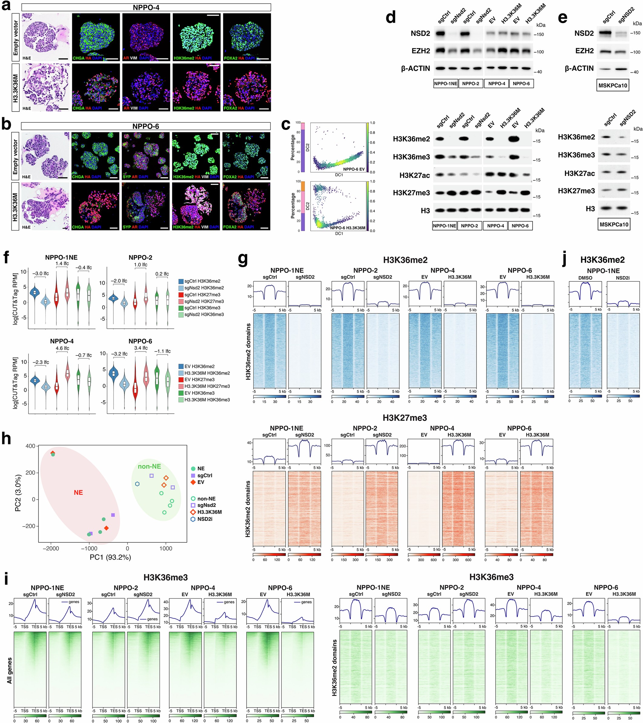
Extended Data Fig. 5: Analysis of histone marks following NSD2 targeting.
From: NSD2 targeting reverses plasticity and drug resistance in prostate cancer

a,b, Hematoxylin-and-eosin (H&E) staining and immunofluorescence staining of sections from NPPO-4 (a) and NPPO-6 (b) organoids cultured in the absence of DHT after transfection of the oncohistone H3.3K36M or control (empty vector). AR, Androgen receptor; CHGA, chromogranin A; HA, Hemagglutinin tag; SYP, Synaptophysin; VIM, Vimentin. Scale bars, 50 µm. c, Density plots for VIPER-analyzed scRNA-seq data from NPPO-6 organoids following H3.3K36M expression or control (EV, empty vector). Changes in cluster sizes are quantified in vertical bars at left of each plot. d,e, Western blot analysis of NSD2 and EZH2 proteins (top) and of H3K36me2, H3K36me3, H3K27ac, and H3K27me3 levels (bottom) in control (sgCtrl) and Nsd2 knock-out (sgNsd2) NPPO-1NE and NPPO-2 organoids, in control (EV) and H3.3K36M-transfected NPPO-4 and NPPO-6 organoids, or in control (sgCtrl) and NSD2 knock-out (sgNSD2) MSKPCa10 organoids (source data in Supplementary Fig. 1). f, Violin plots with overlaid box plots comparing H3K36me2, H3K36me3 and H3K27me3 CUT&Tag signals at genomic regions marked by H3K36me2 between sgCtrl and sgNsd2 or between EV and H3.3K36M-transfected NPPO organoids. Data are expressed as median and interquartile (IQR) ranges (n = 20,818 regions tested for each organoid line); whiskers show Min to Max. Wilcoxon rank-sum test (two-tailed) was used. LFC, log2 fold-change. g, Heatmaps of CUT&Tag signals for the indicated histone marks at genomic domains marked by H3K36me2, comparing sgCtrl and sgNsd2 or EV and H3.3K36M-transfected NPPO organoids. h, Principal Components Analysis (PCA) of H3K36me2 CUT&Tag signals in the indicated NPPO organoid lines. Shaded regions indicate NE (red) and nonNE (green) phenotypes. i, Heatmaps of H3K36me3 CUT&Tag signals at gene body regions (left) and at genomic domains marked by H3K36me2 (right). j, Heatmaps of H3K36me2 CUT&Tag signals in NPPO-1NE organoids in the absence or presence of NSD2i.