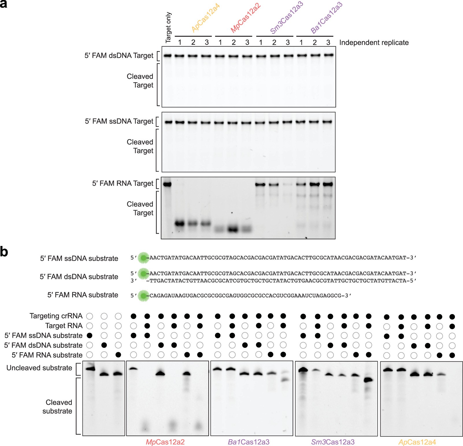
Extended Data Fig. 2: Cas12a2, Cas12a3, and Cas12a4 are RNA-targeting enzymes with distinct substrate cleavage profiles.
From: RNA-triggered Cas12a3 cleaves tRNA tails to execute bacterial immunity

(a) In vitro target cleavage using FAM-labeled dsDNA, ssDNA, or RNA resolved on a fully-denaturing formaldehyde (FDF) polyacrylamide gel. (b) In vitro cleavage of FAM-labeled non-target substrates. Gel images are representative of independent cleavage assays (n = 3). For gel source data, see Supplementary Fig. 1.